牙周洁治

德伦口腔在广州成功举办牙周临床大师论坛
图片尺寸500x309
洗牙和牙周刮治有什么区别
图片尺寸389x239
科普洗牙和牙周刮治有什么区别关于牙周刮治的3大疑问答案都在这里
图片尺寸1440x976
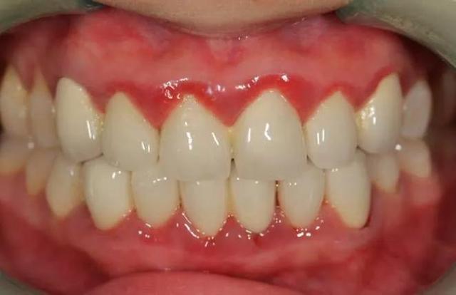
朋友说非常后悔做了龈下洁治牙周病在做完牙周刮治后越来越重了
图片尺寸600x326
其实引起牙齿过早脱落的原因有一半是牙周炎所为
图片尺寸486x280
为什么洗牙后还要做牙周刮治?
图片尺寸640x905
广州口腔医院牙周刮治价格
图片尺寸600x450
牙周病治疗—洁治加根面平整(京州口腔医院)
图片尺寸640x360
洗牙和牙周刮治到底有什么区别不都是清洁牙齿吗
图片尺寸600x314
洗牙有利有弊 如何选择 结合牙齿情况和时间很重要|牙周病|口腔|牙
图片尺寸660x540
洗牙——预防牙周病的最有效手段
图片尺寸650x411
都是清洁牙齿,洗牙和牙周刮治有什么不同?
图片尺寸800x800
洗牙清洁的是牙齿表面,而龈下刮治清洁的是牙龈下,深度清洁牙周_哔哩
图片尺寸995x622
患者初步接受牙周治疗
图片尺寸1280x720
龈上洁治和龈下刮治是一回事吗原来深度洁治和牙周刮治的区别是这样啊
图片尺寸640x307
做牙周多少钱(做牙周深刮是否先洗牙)
图片尺寸640x414
哈医大一院牙周专家谈洗牙之前为什么要验血
图片尺寸550x285
【牙周刮治微学堂】第二十七期:超声洁治技术(下)
图片尺寸656x966
【天天抽】【洪山丽康口腔门诊】价值260元口腔牙周洁治套餐!
图片尺寸2290x2183
洗牙的重要性.牙菌斑会引起牙龈炎,牙周病,牙龈出血,所以要定 - 抖音
图片尺寸1109x1476