牙周溢脓图片

主页 综合治疗 牙周病 牙周炎早期表现为牙龈出血,溢脓,口臭或异味
图片尺寸326x220
牙周病松动前牙固定术
图片尺寸600x447
头条问答 - 小孩牙龈上长了个包,里面好像有脓,该怎么办?
图片尺寸640x360
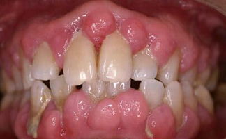
牙周炎患者牙龈出血,溢脓,牙齿松动.
图片尺寸1080x1440
牙周袋内容易嵌藏食物残渣和牙菌斑;感染时牙龈疼痛,牙周袋溢脓,口臭
图片尺寸248x209
牙周脓肿
图片尺寸272x240
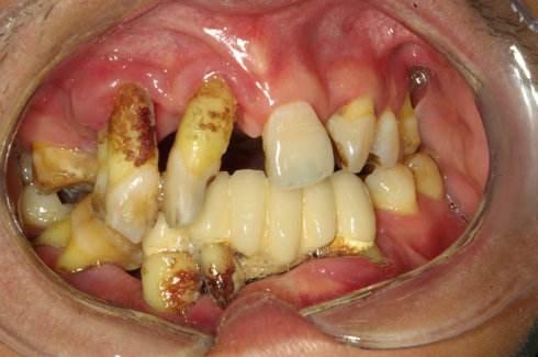
检查:26,36,37缺失,余留牙Ⅲ度松动,牙龈退缩,探诊溢脓,根面暴露.
图片尺寸640x426
在牙周病中最常见,主要表现有牙龈红肿出血,牙周袋形成,牙周袋溢脓
图片尺寸500x325
可以明显看见牙龈肿胀,牙周溢脓出脓流脓或者流血这些都可以从中看出
图片尺寸550x389
牙周组织的炎症较重,龈缘红肿可呈肉芽状增生,易出血,常有牙周袋溢脓
图片尺寸324x200
出血,溢脓等一系列牙周病症状的罪魁祸首!
图片尺寸552x365
包括牙龈出血红肿,牙龈增厚变肥,牙龈退缩,牙周袋深度加深,牙周溢脓
图片尺寸600x400
bi 2-4,pd 3-7mm,部分牙齿松动,牙龈红肿,龈乳头成暗红色,牙周溢脓
图片尺寸680x510
6,12个月复查,颊侧未见瘘道,牙龈愈合,颊侧探诊无牙周袋,无出血及溢脓
图片尺寸799x602
牙周炎的五个自测方法教给你9516615口臭,持续性口臭,容易食物
图片尺寸1080x1528
重度慢性牙周炎的序列治疗一例
图片尺寸708x513
很多人疑问为什么自己的口腔老有异味,其实就是牙周
图片尺寸490x325
如牙龈炎,牙周炎,牙龈出血,牙槽溢脓,大量结石或积垢污物,或有食物嵌
图片尺寸711x400
治疗前颊侧:牙周红肿,牙周溢脓,大量牙石这个患者也是从千里之外来的
图片尺寸640x392
拔智齿后遗之间隙感染硬块
图片尺寸1254x1647