牙周炎牙龈

牙周炎(牙龈萎缩)
图片尺寸5353x3582
最近追踪的一位32岁男性牙周炎患者近两年牙龈一直红肿出血 一 - 抖音
图片尺寸1440x1080
科普丨牙周炎和牙龈炎有什么区别
图片尺寸1469x591
牙周炎疾病牙龈萎缩现象
图片尺寸500x335
牙周炎,牙龈炎,牙周病,看牙科前先看此文
图片尺寸960x542
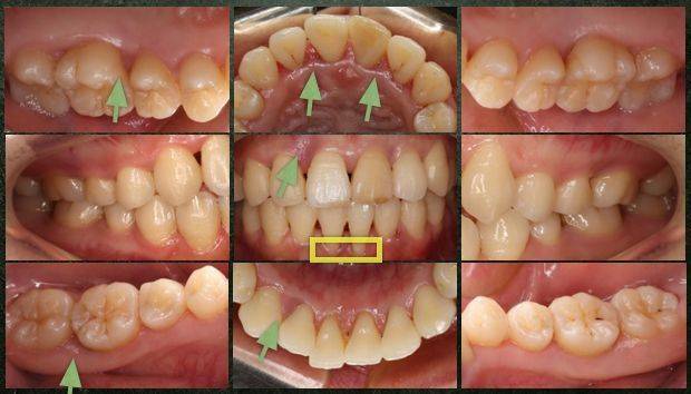
局限型侵袭性牙周炎及牙龈退缩治疗病例分享
图片尺寸620x354
牙周炎牙龈区的炎症过程. 牙齿脖子的暴露. 医生检查口腔.
图片尺寸400x300
牙周炎要切掉牙龈到底有多恐怖?
图片尺寸373x233
辣眼睛的牙周病发展过程|牙周炎|牙龈炎|牙结石_网易订阅
图片尺寸330x220
牙周炎牙龈区的炎症过程. 牙齿脖子的暴露. 医生检查口腔.
图片尺寸400x300
快查牙周炎牙齿松动了能恢复吗
图片尺寸600x400
多图:不同年龄段牙龈,牙周炎患者的牙周情况
图片尺寸640x426
牙龈炎与牙周炎区别表(牙周炎傻傻分不清)3
图片尺寸384x248
广泛型侵袭性牙周炎牙龈萎缩图
图片尺寸400x300
牙周炎_牙周炎症状表现 - 好大夫在线
图片尺寸1400x861
局限型侵袭性牙周炎及牙龈退缩治疗病例分享
图片尺寸565x501
牙周炎牙龈红肿图片
图片尺寸1242x828
辣眼睛的牙周病发展过程|牙周炎|牙龈炎|牙结石_网易订阅
图片尺寸400x285
出现牙齿松动,脱落,小心牙周炎
图片尺寸1200x900
牙周病是怎么引发心脏病的?牙齿居然也能致命
图片尺寸524x349