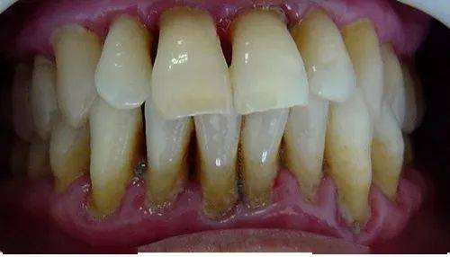
牙周炎 中期

牙周专题不小心得了牙周炎该怎么办
图片尺寸720x454
警惕牙齿的慢性杀手牙周病
图片尺寸400x266
中期牙周炎:牙周袋进一步加深,牙齿松动,移位
图片尺寸500x286
中度牙周炎治疗病例
图片尺寸400x300
牙周健康,我们在行动 牙不好=吃不好 吃不好=消化不好 消 - 抖音
图片尺寸1081x1080
牙周病: 为何你深受其害,却忽视其存在?
图片尺寸500x494
多图不同年龄段牙龈牙周炎患者的牙周情况
图片尺寸640x426
牙周炎有什么症状 牙周病怎么治疗可以缓解疼痛
图片尺寸640x296
牙周炎初期会引起牙龈炎,牙龈红肿出血,而到了中期,除了牙缝变大,牙龈
图片尺寸431x221
多图不同年龄段牙龈牙周炎患者的牙周情况
图片尺寸385x253
二,得了牙周炎怎么处理?
图片尺寸645x541
中期牙周炎症状
图片尺寸600x356
牙周炎的发生,会引起组织发炎,牙龈出血 口腔有害细菌产生的代谢产物
图片尺寸900x500
牙周炎引起的牙齿松动是缺少什么?牙龈红肿牙齿松动(1)
图片尺寸580x407
牙周炎治疗前后比较 - 好大夫在线
图片尺寸826x319
牙周病中期
图片尺寸641x426
小心牙周病
图片尺寸579x206
由于牙周病在早,中期没有明显的自觉症状,而绝大部分中国人又没有定期
图片尺寸500x273
牙周炎实拍图
图片尺寸400x260
牙周炎,牙周病中一种更糟糕的形式,因为它可以破坏支持牙齿的软组织和
图片尺寸1080x658