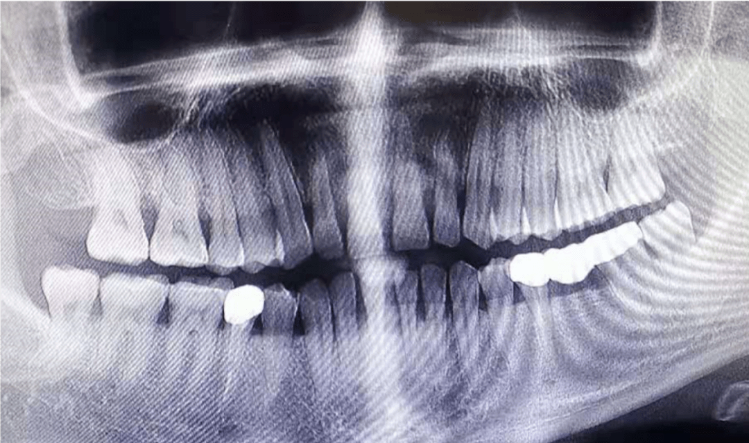
牙周病全景片

种植后全景片从种植到戴牙冠修复花了半年的时间.
图片尺寸1080x614
慢性牙周炎患者牙周序列治疗联合修复治疗1例_检查
图片尺寸1080x639
大龄国外看牙重度牙周炎该何去何从
图片尺寸1080x810
请问下排牙牙龈萎缩是不是有牙周炎
图片尺寸1080x810
再现美丽笑容.一个朋友,长期受牙周病困扰加上缺牙,导致吃东西 - 抖音
图片尺寸960x1616
24岁慢性牙周炎202274更新
图片尺寸800x400
慢性牙周炎治疗
图片尺寸756x378
27岁,uu们帮忙看看牙周炎严重吗?(08.15更新)
图片尺寸1080x607
请大家帮我看看这个牙周炎是什么程度
图片尺寸1080x2248
局限型侵袭性牙周炎及牙龈退缩治疗病例分享
图片尺寸1009x436
慢性牙周炎下颌neoss4 病例
图片尺寸824x548
看看我的牙片这是牙周炎什么程度啊
图片尺寸1080x810
一例重度牙周炎的女性引起的感想
图片尺寸1440x1080
全口牙牙周病种植修复治疗
图片尺寸3968x2976
重度牙周病 - 好大夫在线
图片尺寸4032x3024
警惕!牙周炎会慢慢腐蚀掉你的骨头
图片尺寸548x285
找到组织了激动图文说说我的牙周炎自己判断是侵袭性
图片尺寸1080x810
成人慢性牙周炎系统性治疗一例以菌斑控制为导向的牙周治疗2018病例展
图片尺寸989x561
严重牙周病人全景片,全口牙齿保不住了.
图片尺寸1080x540
重度牙周病 - 好大夫在线
图片尺寸4032x3024