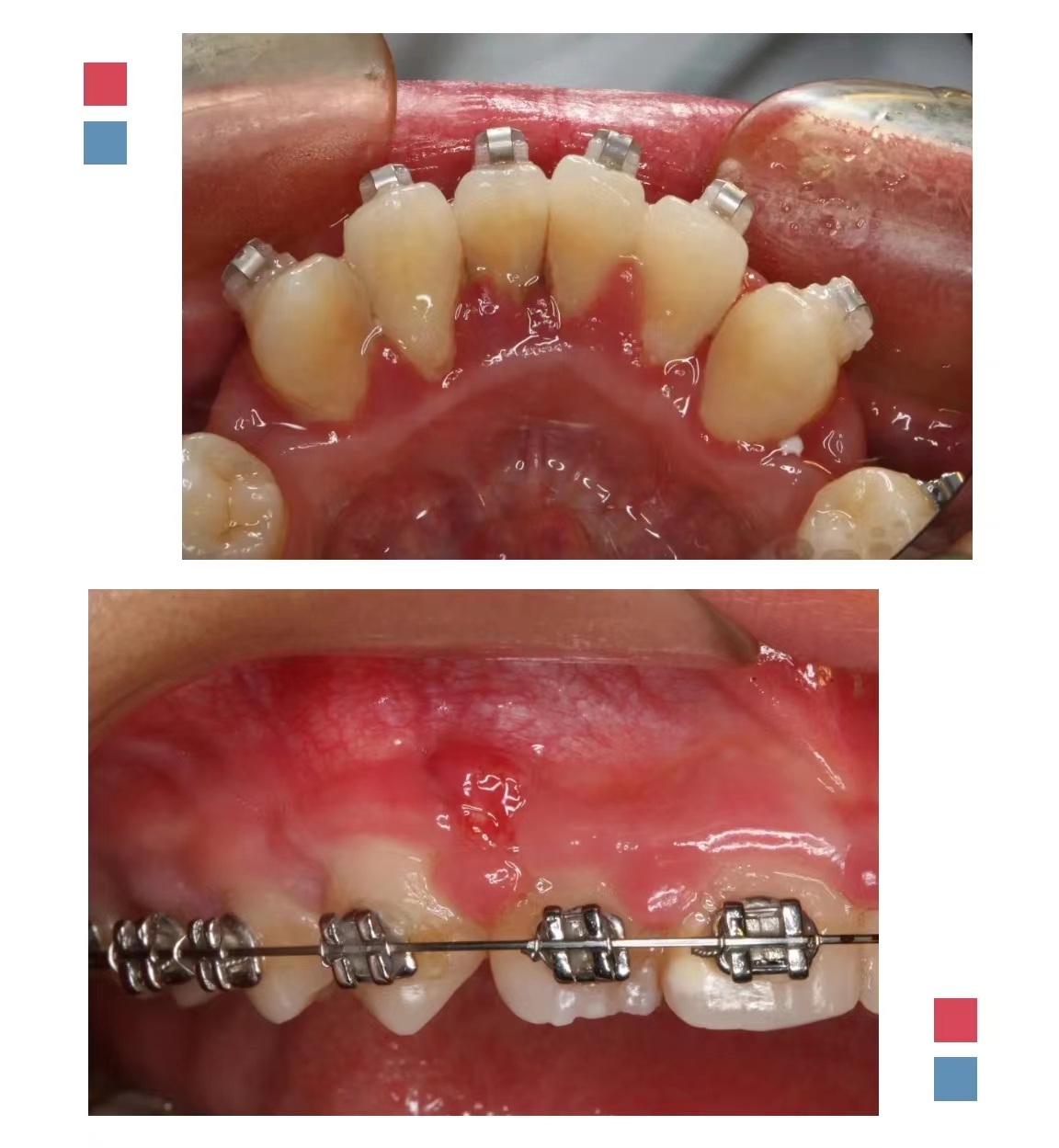
牙周病正畸

口腔跨学科治疗中的规范化牙周治疗程序一例重度慢性牙周炎患者的治疗
图片尺寸1242x843
正畸案例丨牙列拥挤不齐牙周病
图片尺寸1112x690
牙周病患者可以正畸吗
图片尺寸1152x1249
正畸结束后18个月复诊专家点评:杨丕山教授:这例重度慢性牙周炎患者
图片尺寸1080x545
2孩主诉前牙前凸,既往史:牙周病5年.现病史:深覆盖,双颌前 - 抖音
图片尺寸1800x1800
成人慢性牙周炎系统性治疗一例以菌斑控制为导向的牙周治疗2018病例展
图片尺寸591x1148
牙龈萎缩适合做牙齿正畸吗
图片尺寸1152x2048
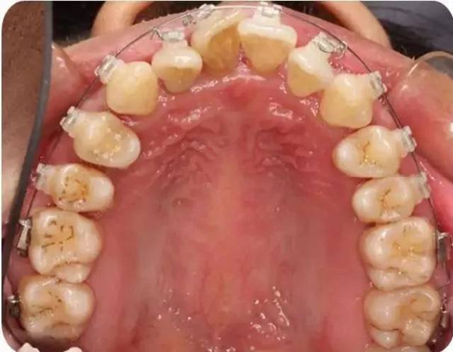
牙周炎矫正
图片尺寸1689x1040
一例严重牙周病患者的正畸治疗过程
图片尺寸620x413
正畸博士提醒你千万别花大钱矫正了一口整整齐齐的烂牙
图片尺寸883x540
一例严重牙周病患者的正畸治疗过程
图片尺寸620x413
正畸会让牙齿脱矿小白斑都是怎么来的
图片尺寸640x476
一例严重牙周病患者的正畸治疗过程
图片尺寸620x413
口腔跨学科治疗中的规范化牙周治疗程序一例重度慢性牙周炎患者的治疗
图片尺寸1237x570
成人慢性牙周炎系统性治疗一例以菌斑控制为导向的牙周治疗2018病例展
图片尺寸1080x623
多学科联合治疗慢性牙周炎以菌斑控制为导向的牙周治疗2018病例展评
图片尺寸593x401
一例严重牙周病患者的正畸治疗过程
图片尺寸620x413
成人慢性牙周炎系统性治疗一例 | 以菌斑控制为导向的牙周治疗2018
图片尺寸606x472
一例严重牙周病患者的正畸治疗过程
图片尺寸620x413
成人骨性地包天伴牙周炎矫正案例
图片尺寸1134x1214