牙周膜间隙增宽

x线示牙周膜增宽影像.
图片尺寸600x600
图片
图片尺寸396x206
牙龈出血伴鼻出血司空见惯可能是大麻烦
图片尺寸540x720
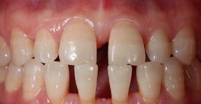
成人牙周病导致前牙散在间隙,无托槽隐形矫正(疗程6月)
图片尺寸1936x1296
再现美丽笑容.一个朋友,长期受牙周病困扰加上缺牙,导致吃东西 - 抖音
图片尺寸960x1616
x线检查,11牙周膜增宽,21根尖三分之一折断 治疗方案:21种植修复,13
图片尺寸2666x2000
成人牙周病导致前牙散在间隙,无托槽隐形矫正(疗程6月)
图片尺寸1936x1296
此时期是智齿根尖尚未完全发育完或刚发育完成,牙周膜间隙较宽,牙周膜
图片尺寸1080x608
11,21牙槽骨水平稳定,牙槽嵴顶及21远中颈部密度增加,根尖区牙周膜增
图片尺寸685x235
看漂亮的根充片学热牙胶充填技术理念陈志平教授
图片尺寸840x629
多学科联合治疗慢性牙周炎以菌斑控制为导向的牙周治疗2018病例展评
图片尺寸828x510
牙龈的小包
图片尺寸680x521
1121之间存在45mm间隙你该如何修复来看看国外大咖的修复病例
图片尺寸900x580
病情分析:根尖区根管影像不明显,牙周膜增宽,是来自于咬合创伤还是不
图片尺寸640x426
垂直型根折的临床诊断附案例中国牙医胡特清
图片尺寸400x320
多学科联合治疗慢性牙周炎以菌斑控制为导向的牙周治疗2018病例展评
图片尺寸735x450
楔状缺损树脂仿生充填技术与术后敏感控制
图片尺寸501x313
多学科联合治疗慢性牙周炎以菌斑控制为导向的牙周治疗2018病例展评
图片尺寸607x409
牙体牙周正常解剖及常见病x线表现
图片尺寸570x570
你好,医生,我的牙齿门牙有缝隙,如图,像这种情况要怎么办
图片尺寸1280x960