牙周袋注射

一次清除即可;若情况严重,除去刮治,还需要配合药物治疗,即在牙周袋内
图片尺寸560x296
首先将注射器头部深插至牙周袋底部,注入淡黄色软膏,注意要将患牙牙周
图片尺寸304x223
让牙医失业的牙周病终极疗法
图片尺寸450x338
你真的掌握牙周袋探针深度了么
图片尺寸626x440
蒂欧尼牙周袋
图片尺寸1280x720
牙周袋探查
图片尺寸736x419
新华医疗牙周袋探针刻度探针牙周深探针齿科不锈钢牙科口腔科器械
图片尺寸800x800
你真的掌握牙周袋探针深度了么
图片尺寸344x260
牙周袋示意图
图片尺寸284x298
牙周袋探针(刻度)
图片尺寸800x800
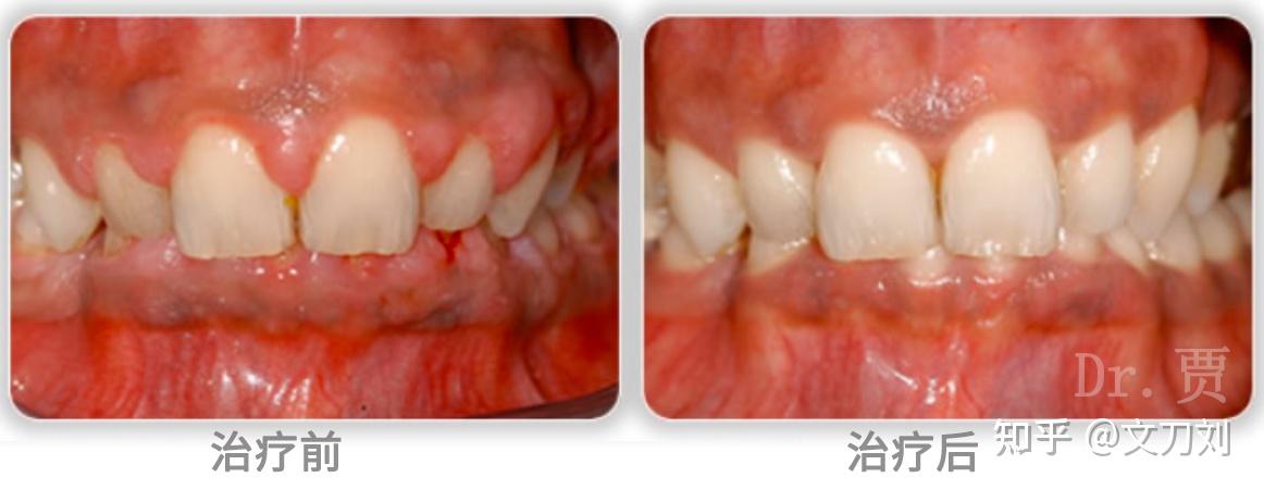
牙医使用特殊的牙周器械,对患者牙周组织进行清洁,其目的是去除牙周袋
图片尺寸1162x451
牙周袋探针kpwho
图片尺寸666x839
牙科工具cpi牙周袋刻度探针进口不锈钢修复器械齿科口腔材料 根管探针
图片尺寸750x760
你真的掌握牙周袋探针深度了么
图片尺寸526x628
深牙周袋的治疗技术图解
图片尺寸640x247
牙科工具cpi牙周袋刻度探针进口不锈钢修复器械齿科口腔材料 根管探针
图片尺寸750x765
28岁重度牙周炎牙周袋全部510
图片尺寸1080x1440
中期牙周炎:牙周袋进一步加深,牙齿松动,移位
图片尺寸500x286
牙周袋会不会自愈该如何消除带你详细了解牙周袋深度3级分类图片
图片尺寸600x336
牙周刮治
图片尺寸502x629