牙套牵引钩

正畸牵引钩j钩 j型钩2x1装 正畸矫正牵引钩 旺德福齿科牙科材料
图片尺寸800x800
关于damonq自锁托槽牵引钩,的多个创新型解决方案(三)(原创,程磊)
图片尺寸640x427
爱丽思 游离牵引勾(问号钩)10*1
图片尺寸1400x1400
0mm钢丝弯制4钩nance托,包埋取集合模型 填蜡灌模矫治前准备工作:6
图片尺寸651x283
小身材大作用牙套上橡皮筋的n个秘密
图片尺寸640x442
正畸outietool欧亭橡皮筋挂钩橡皮圈放置钩牙套矫正牵引其它口腔护理
图片尺寸800x800
关于damonq自锁托槽牵引钩,的多个创新型解决方案(三)(原创,程磊)
图片尺寸640x427
牙科正畸游离钩标准型游离牵引钩加长型问号型游离钩正畸材料工具
图片尺寸800x800
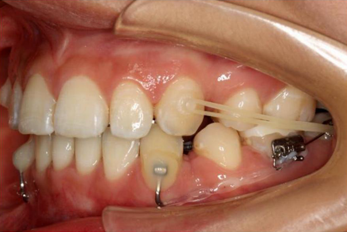
这种弹力橡皮圈主要挂在矫治装置(托槽,牵引钩)之间,牵引钩是用于勾住
图片尺寸1002x564
天天 游离牵引钩10*1
图片尺寸1080x1080
关于damonq自锁托槽牵引钩,的多个创新型解决方案(三)(原创,程磊)
图片尺寸640x427
关于damonq自锁托槽牵引钩,的多个创新型解决方案(三)(原创,程磊)
图片尺寸640x427
牙科口腔拉钩 口角拉钩 种植侧方拉钩 手术拉钩拔牙拉钩 唇牵开器
图片尺寸1000x1000
时尚供应正畸材料牙科可卷曲钩正畸
图片尺寸1000x1000
meyarn正畸橡皮圈挂钩牵引皮筋放置摘取器牙齿牙套矫正用钩子神器
图片尺寸800x800
牙科 游离牵引钩 游离勾 舌侧扣 牵引钩 正畸 颊面管 口腔 材料
图片尺寸820x820
关于damonq自锁托槽牵引钩,的多个创新型解决方案(三)(原创,程磊)
图片尺寸640x427
关于damonq自锁托槽牵引钩,的多个创新型解决方案(三)(原创,程磊)
图片尺寸640x427
拉丁训练 牙套一年整~ 2017.1.
图片尺寸570x760
知乎
图片尺寸697x467