牙床骨头

无人,横图,室内,特写,白天,正面,阴影,黑色背景,光线,影子,灯光,骨头
图片尺寸819x719
正面,一排,许多,阴影,黑色背景,整齐,光线,标本,影子,墙,灯光,骨头
图片尺寸819x725
这牙槽骨正常吗
图片尺寸768x384
你不知道的人体骨骼详解「内容过于恐怖,请不要半夜蹲到坟地看」
图片尺寸554x651
牙齿吃东西时旁边的牙骨老是响 有时还会疼是怎么回事?
图片尺寸384x489
到底多少岁就不能矫牙了?
图片尺寸1032x446
牙床骨质突起的原因和处理措施
图片尺寸560x782
在商丘种牙多少钱一颗有没有啥种牙补贴政策
图片尺寸600x438
下面的牙,诊所医生说牙离神经很近,要拔牙还要磨一下骨头,之后还有
图片尺寸692x692
牙床骨质突起的原因和处理措施
图片尺寸560x452
骨粉是什么为啥有的人种牙前要先植骨
图片尺寸1024x849
牙龈退缩知多少
图片尺寸373x340
细说种植牙为什么要用骨粉骨粉有几种会不会植入骨粉不成
图片尺寸442x344
种植医生是这么回答的
图片尺寸450x405
健康的牙槽骨骨质情况图
图片尺寸500x304
黑三角严重,牙槽骨薄,牙龈萎缩严重,有点悲伤,有没有一样的uu
图片尺寸1080x810
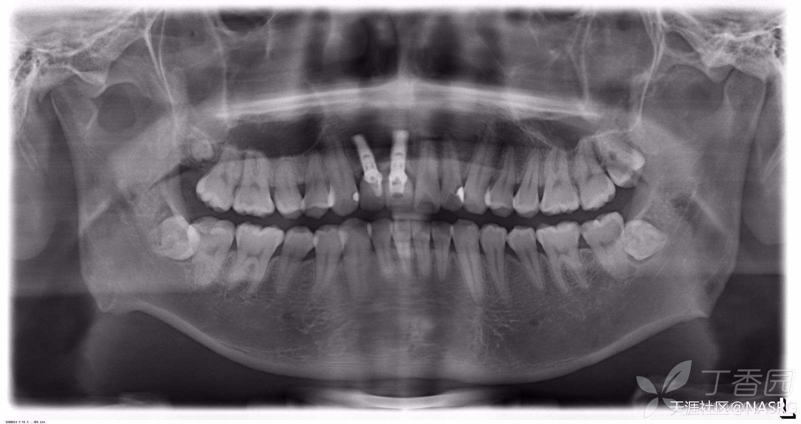
为什么左边右边骨头明显不对称了?
图片尺寸1600x847
牙槽骨我们人类牙齿的根部并不是直接长在牙床上的,它们之间垫着一层
图片尺寸611x256
牙槽骨的吸收程度和类型
图片尺寸1080x810
牙槽骨骨突
图片尺寸360x270