牙弓不对称

牙不齐(倾斜,拥挤)是怎样的体验?
图片尺寸720x720
长期口呼吸引起的上牙弓狭窄,前牙严重拥挤 长期口
图片尺寸1080x720
左右牙龈曲线明显不对称
图片尺寸441x262
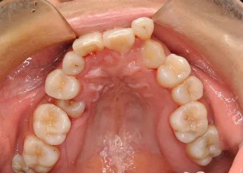
牙弓不对称扩弓矫正
图片尺寸467x522
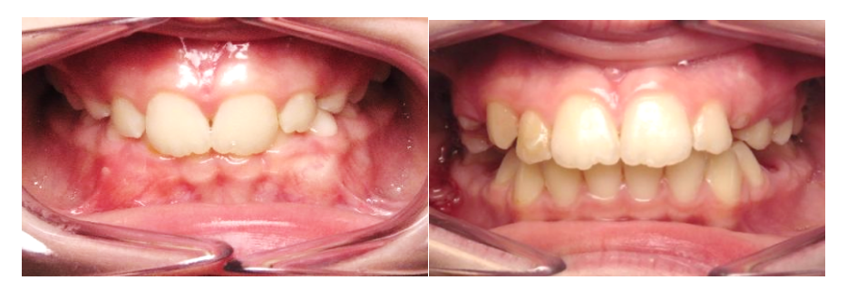
牙列严重拥挤导致面部不对称
图片尺寸597x430
矫正牙齿 这2颗牙齿不对称怎么办 右边那个牙齿明显高一点 怎么办
图片尺寸469x505
牙弓不对称?弧度笑线不美观?美学矫正通通_圈子-新氧美容整形
图片尺寸990x742
同时,上下牙弓前突,双颌前突,一侧后牙反颌,颜面不对称.
图片尺寸750x500
alignglobalgallery
图片尺寸768x464
牙弓不对称儿童早期矫治的矫治器有哪些呢?
图片尺寸934x320
牙齿不齐会遗传给下一代吗?
图片尺寸479x340
牙弓不对称牙齿不平整图
图片尺寸750x500
牙列不齐的危害
图片尺寸500x375
正畸案例丨中线不对称 牙列不齐
图片尺寸837x586
牙弓不对称?弧度笑线不美观?美学矫正通通_圈子-新氧美容整形
图片尺寸738x737
翁忖
图片尺寸1080x810
"弓外牙"是什么?"弓外牙"还能长回去吗?
图片尺寸720x540
"牙齿不齐"知多少
图片尺寸641x482
jpg(好像是真的…左右牙弓更加不对称了,我好迷茫,不过下排歪掉的那
图片尺寸2553x1915
辅助弓矫治一例尖牙错位
图片尺寸640x426