牙擦苏图片龅牙

龅牙图片真人图片
图片尺寸478x336
龅牙销魂救世界盘点港片中经典的龅牙形象图
图片尺寸550x366
牙齿漂亮到底有多重要? ▲但是在生活中,你可能拥有以上同款龅牙.
图片尺寸477x378
主人回家发现狗狗变成了龅牙得知真相后哭笑不得
图片尺寸660x1173
儿童龅牙,儿童大龅牙-图片大观-奇异网
图片尺寸699x389
被叫"龅牙妹"很苦恼?龅牙怎么办好?
图片尺寸470x329
龅牙还分骨性和牙性你分的清吗
图片尺寸640x427
我们来了2唐艺昕另类扮演牙擦苏 女明星龅牙装谁最美
图片尺寸600x473
我们来了2唐艺昕另类扮演牙擦苏 女明星龅牙装谁最美
图片尺寸600x426
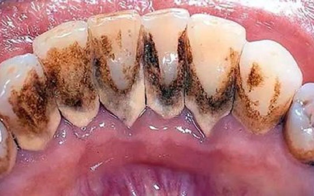
这个导致口臭的脏东西,96% 的人都有,一招缓解_口腔_牙齿_牙缝
图片尺寸1080x720
暴牙怎么办龅牙怎么改善
图片尺寸395x312
骨性龅牙牙性龅牙看这3点就知道了
图片尺寸1080x810
龅牙的特征所谓龅牙,即是牙颌畸形,是指儿童在生长发育过程中由先天的
图片尺寸480x360
牙擦苏(张卫健饰演)
图片尺寸260x346
特征:龅牙 地包天,有几个牙掉了 ,年纪16岁,名字贝.
图片尺寸640x640
16图看牙齿色素沉着-洗洗吧
图片尺寸1334x750
牙擦苏(张学友饰演)
图片尺寸260x346
龅牙图片真人图片
图片尺寸478x336
多年烟渍牙竟被1招解决!真后悔没早点用!成本低效果好!
图片尺寸1088x680
龅牙图片676767龅牙图片骨性二类就是上颌颌骨凸,也就是天包地
图片尺寸398x359