牙本质外露

会导致牙本质外露,在遭遇外来刺激时,牙齿也会有酸疼,无力等敏感症状.
图片尺寸512x340
74 牙本质外露
图片尺寸473x239
之前我们已经说过牙体硬组织是由牙釉质,牙本质,牙骨质组成,牙本质
图片尺寸545x595
问答_患者咨询-有来医生
图片尺寸710x400
牙齿本质外露图片(牙根外露怎么解决) - 赤虎壹号
图片尺寸1280x914
龋坏是渐进性破坏牙齿釉质,牙本质的过程,破坏深度越靠近牙髓神经
图片尺寸640x480
牙本质外露怎么办?牙龈烂了牙根外露怎么办?-图片大观-奇异网
图片尺寸963x447
74 牙本质外露
图片尺寸493x335
偷拍的,两岁小孩上门牙牙釉质碰掉了一块,牙本质外露,外露部分是软的
图片尺寸592x1052
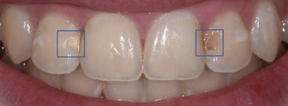
如果你有龋齿(也就是虫牙),当龋齿的深度突破了牙釉质,到达了牙本质
图片尺寸1000x369
2.牙本质敏感
图片尺寸713x411
74 牙本质外露
图片尺寸500x320
门牙牙釉质被医生酸蚀掉了一层很粗糙 牙齿边缘已经渐渐的露出牙本质
图片尺寸960x576
牙釉质损伤图片5
图片尺寸533x400
楔状缺损长啥样?_牙齿
图片尺寸563x338
牙齿本质外露图片(牙根外露怎么解决) - 赤虎壹号
图片尺寸1000x480
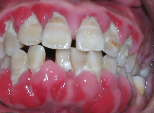
浅龋和中龋 "补牙"即可当蛀牙的病变只是到达牙釉质层或牙本质层时,叫
图片尺寸810x1080
牙根外露,牙根外露的原因,牙根外露怎么办-五官科-口腔科-症状查询
图片尺寸300x220![下图这个病例[3],就是因咀嚼习惯造成了牙本质磨损,都快暴露了肯定是](https://i.ecywang.com/upload/1/img1.baidu.com/it/u=1886253221,1925848850&fm=253&fmt=auto&app=138&f=JPEG?w=1053&h=500)
下图这个病例[3],就是因咀嚼习惯造成了牙本质磨损,都快暴露了肯定是
图片尺寸1080x513
f10-a3洞衬及beautifil flow plus松风注射树脂f03- a3o恢复牙本质层
图片尺寸640x739