牙根管治疗图

记录第一次牙齿治疗!根管全过程!
图片尺寸828x817
做完根管治疗后,牙齿又痛又出血!该怎么办?
图片尺寸1090x938
根管治疗为什么比补牙贵?可以医保报销吗?_费用_牙齿_医生
图片尺寸1080x971
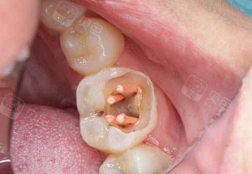
牙齿进行根管治疗的照片
图片尺寸500x346
抖音图文来了 #牙齿健康 #根管治疗 发现牙齿有洞塞牙就要 - 抖音
图片尺寸2048x888
小编之前就是这样的问题,以为补牙能处理实际治疗是要做根管治疗
图片尺寸500x333
东莞中堂什么是根管治疗?牙齿出现这些情况,防止烂牙,建议做根管治疗
图片尺寸960x595
大家要扛住尽量不要做根管治疗不可信那牙齿蛀空了怎么办
图片尺寸500x284
牙齿做根管治疗到底有多恐怖?
图片尺寸395x251
互动吧-赵廷旺期现代根管治疗实战培训班8月宁波大连
图片尺寸600x428
是因为他在外面做治疗以后,可能因为某些原因导致了牙根的一些侧穿
图片尺寸600x338
根管治疗丨拿什么拯救你我的牙齿
图片尺寸960x610
到底根管治疗后牙齿的寿命有多长?
图片尺寸500x500
1000元 口腔项目 根管治疗 恢复时间 30天 收藏 说起牙齿治疗,憾噜
图片尺寸500x500
牙疼后,为啥医生建议你根管治疗而不是补牙?
图片尺寸809x534
2分钟带你了解牙齿根管治疗全过程
图片尺寸896x648
根管治疗
图片尺寸570x793
没经历过根管治疗的成年人还能叫做现代人吗
图片尺寸500x314
根管治疗后千万别打桩是怎么回事,难道有什么坑吗千万别忽视_"牙舒丽
图片尺寸483x600
根管治疗后牙齿裂开?谁知道根管过的牙裂了要拔吗?
图片尺寸400x400