牙根钉牙图片

头条问答 - 什么情况需要补牙?(5个回答)
图片尺寸640x426
亲身经历隐形矫正有时候也需要打支抗钉
图片尺寸970x970
正畸种植钉植入后应该注意什么
图片尺寸1400x856
缩短牙冠高度;再如后牙多根牙的压低,需要额外的力量帮忙,否则牙根的
图片尺寸720x465
牙齿蛀的还剩下一点根了, 是不是一定要拔?
图片尺寸450x507
今天晚上大牙掉了,但是没把牙钉去掉,牙齿在里面可以前后转圈圈.
图片尺寸1080x1440
在牙齿象牙质(牙本质)上 打进2根加强钉补强结构
图片尺寸1000x664
镶牙前能保留的牙根尽量保留
图片尺寸546x356
镶牙时牙根要不要拔?
图片尺寸506x208
牙齿矫正什么情况下要打骨钉打骨钉疼吗具体有什么用
图片尺寸500x334
我儿子六岁了有蛀牙,牙根凸出来了,要怎么办?拔牙拔的出来吗?
图片尺寸1280x768
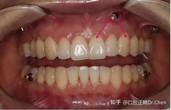
露龈微笑切牙根间种植钉植入步骤原创武广增
图片尺寸500x392
刚接诊时的情况,11rct超充,远中牙本质钉
图片尺寸620x620
2颗门牙正前方靠近牙根2个洞!下面有图
图片尺寸600x450
露龈微笑切牙根间种植钉植入步骤(原创)
图片尺寸448x335
牙齿美容整形-牙齿矫正整形-牙齿美容价格-整形项目-美思网
图片尺寸619x396
口腔材料 后牙根管钉(牙用螺纹钉)正品 牙科材料
图片尺寸750x554
牙博士口腔医院:首页 > 牙齿种植 > >
图片尺寸364x365
种牙用的钉子叫做牙根钉,牙根钉是对缺牙进行修补时,选择种植牙使用的
图片尺寸311x444
牙科自攻自断螺纹钉
图片尺寸800x600