牙槽窝沟变黑了图片

牙缝黑怎么办 到底是怎么回事?
图片尺寸320x190
后槽牙怎么了黑了是坏了吗 平时感觉不大
图片尺寸3968x2976
牙齿变成这样还有救吗?里面的黑怎么才可以去除,谢谢.
图片尺寸375x500
牙齿黑怎麼回事.
图片尺寸400x400
牙沟上黑线,需要补牙吗?
图片尺寸780x1052
这是什么情况?去牙科,医生说先不用管!
图片尺寸375x500
我这颗沟槽有黑丝的大牙是不是窝沟龋
图片尺寸600x600
牙缝黑黑的是什么鬼
图片尺寸960x1280
牙齿吃东西的时候酸痛,牙窝有黑线,严重吗?
图片尺寸498x664
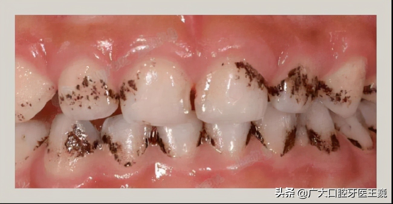
窝沟有黑线但是没洞怎么补救(窝沟有黑线但是没洞 没疼痛)-友友
图片尺寸1300x676
请医生帮忙看看,牙齿这是怎么了,周围黑色的是什么
图片尺寸375x500
牙齿上黑黑的是什么,有办法去除吗,是什么原因引起的.
图片尺寸424x500
窝沟有黑线但是没洞这种浅龋补牙后能用一辈子吗浅龋补牙多少钱
图片尺寸521x514
展开全部 这就是牙齿的各个尖形成的山谷状环境(医学称之为窝沟点隙
图片尺寸350x230
牙齿_色素_严重
图片尺寸781x521
门牙牙缝发黑千万别不当回事
图片尺寸495x288
牙缝发黑,是龋齿还是色素沉着?
图片尺寸640x446
窝沟龋早期的表现就是后牙咬合面有黑线,这个时候的牙齿龋坏(龋齿中的
图片尺寸1000x668
牙齿上边凹槽里的黑色是什么物质,能否
图片尺寸450x338
现在牙齿没有疼痛感,最里面那两颗牙需要怎样处理?
图片尺寸1000x889