牙洞补完后什么样图片

后牙龋坏完美修复一例
图片尺寸1920x1080
补完牙后的根管治疗 - 好大夫在线
图片尺寸5164x3506
槽牙补牙后第四天碎了漏了一个大洞
图片尺寸1080x1080
牙洞大小收费一样吗
图片尺寸500x500
详细页面参考金额 200元 口腔项目 补牙 恢复时间 1天 收藏 补完牙
图片尺寸500x500
补牙后一般能维持几年?
图片尺寸475x389
记录蛀牙的第五天,直到去补为止.大家点点赞关注一下我呗谢谢了
图片尺寸1280x1706
一例门牙树脂修复病例--张杨_kq88口腔内科网
图片尺寸620x365
后牙二类洞树脂美学修复
图片尺寸640x853
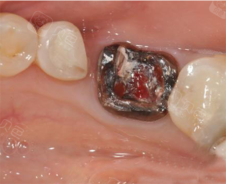
根管治疗后不做牙冠对还是错正规医生为你解释说明
图片尺寸450x366
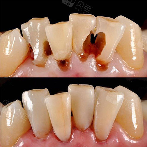
一口好牙太重要了,坏牙就相当于这个样子下图为:两次补牙前后对比如下
图片尺寸570x759
分享南宁补牙收费标准补牙多少钱一颗牙每家口腔都不一样
图片尺寸400x229
补牙就补牙,给我磨那么大个洞干嘛?
图片尺寸800x594
补牙材料掉了发现牙洞很黑是怎么回事,如图.
图片尺寸600x700
女朋友蛀牙好恶心,和她接吻我都不敢张嘴!
图片尺寸500x341
求救前辈们!后槽牙蛀空,填补物脱落,18号才能看上,现在疼到升天.
图片尺寸1080x1440
为什么说牙齿有小洞千万别补!补牙会不会越补越烂?
图片尺寸500x171
补完牙,医生说刚补过的牙齿24小时内不要咬太硬的太黏的东西就可以了
图片尺寸360x300
牙齿烂成这样怎么治,根管治疗之后有烂.
图片尺寸640x786
开封哪个医院看牙靠谱必看排名前三牙科名单推荐人超多
图片尺寸500x348