牙渍和牙垢图片

好在我没有放弃,在我不断地反复尝试中,彻底根除了牙齿上的牙垢烟渍
图片尺寸1336x812
最有效的牙渍去除小妙方!刷掉陈年老污渍,牙齿瞬间亮白两个度!
图片尺寸2000x1308
牙黄牙渍又脏又臭?过来人给你支一招,牙齿越刷越白!_效果_保护_经验
图片尺寸1170x1126
7天刷掉牙黄牙渍,30天刷掉牙结石!
图片尺寸660x344
洗牙自己也可以,牙垢牙菌斑自己就能搞定,你如果牙齿也不白净, - 抖音
图片尺寸1242x1660
牙渍烟渍刷不掉?过来人亲测有效的白牙用物,效果碾压医疗洗牙!
图片尺寸1308x818
牙垢图片?谢谢
图片尺寸450x254
四国专利,老黄牙,烟渍牙,口臭通通消失了!
图片尺寸1006x631
牙医:水里加1样,让"黄牙垢"蹭蹭掉,太实用了|牙结石|牙膏|牙渍_网易
图片尺寸660x618
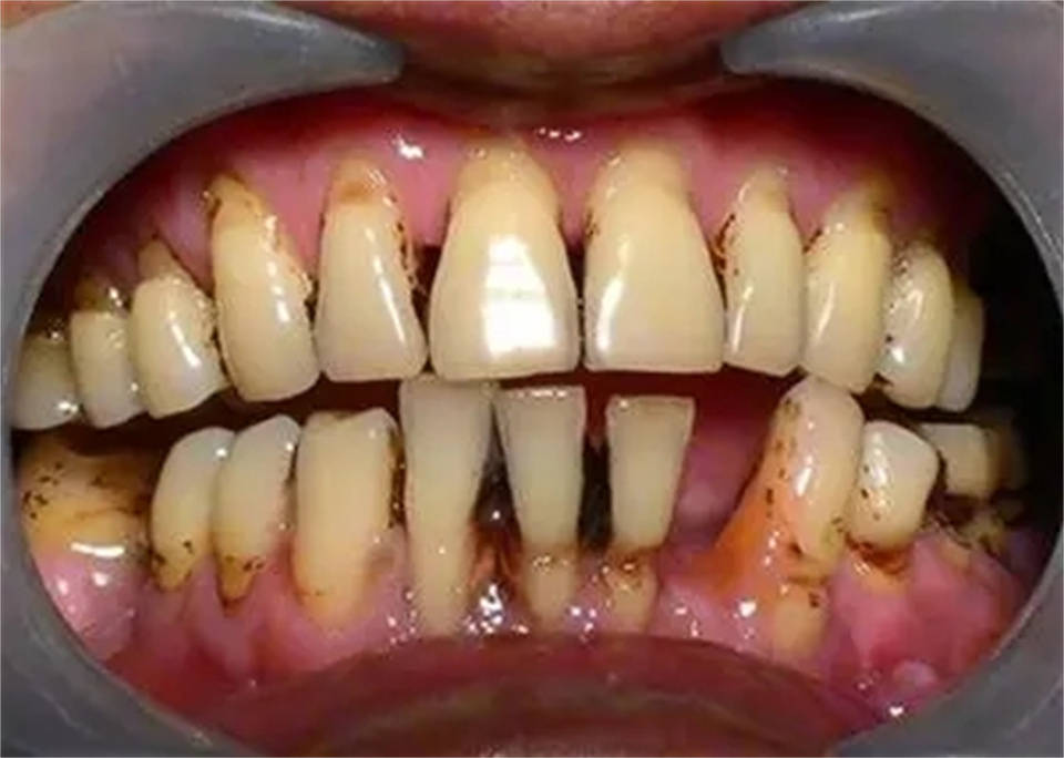
长期没洗牙,大量牙垢堆积
图片尺寸640x373
2,调整刷牙方法我过去刷牙总是非常敷衍,这也是我烟渍非常严重的重要
图片尺寸1280x775
牙结石患者90天亲测效果,赶紧来看!
图片尺寸2000x1312
洗牙到底洗掉了什么?
图片尺寸1253x692
牙垢
图片尺寸448x448
快试试这个法子,满嘴牙渍几天就掉!_牙粉_朋友_颜色
图片尺寸736x634
牙膏|美白|牙齿|牙渍|亮白_网易订阅
图片尺寸522x255
这个导致口臭的脏东西,96% 的人都有,一招缓解_口腔_牙齿_牙缝
图片尺寸1080x720
万年黄牙有救了!学会这2招,烟渍,茶渍,老黄垢统统消失!
图片尺寸1242x875
丛医生口腔科普:什么是洗牙,多久洗一次?_丛长虹__爱问健康
图片尺寸3000x2000
闲时在家这样刷牙,满嘴烟渍牙渍几天就掉!_牙齿_牙膏_牙粉
图片尺寸960x684