牙瘤x线图片

如何判断这是不是牙骨质瘤是的话该怎么办
图片尺寸2048x2048
市口腔医院成功完成一例上前牙埋伏阻生伴牙瘤手术
图片尺寸1053x647
牙瘤摘除还是不摘除
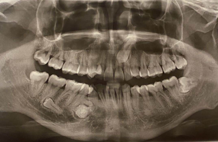
图片尺寸1316x987
双侧下颌骨牙骨质瘤(多发性)
图片尺寸3156x1552
小孩怎样安全度过换牙期
图片尺寸2440x1280
上颌骨牙瘤1例
图片尺寸2608x1440
x线片示:右下第二乳磨牙阻生,合面见两个高度钙化物影像,右下第二双
图片尺寸2304x1218
近日,一女生因缺一颗牙确诊牙瘤拔掉57颗牙,引发全网关注.
图片尺寸1455x1280
吓人!16岁女孩竟长出70多颗"小牙",牙齿还能长肿瘤?
图片尺寸640x414
药物性牙龈增生伴牙龈瘤一例
图片尺寸680x330
7颗牙的经历分享 苏晓斌 关键词:智齿,阻生智齿,埋伏牙,牙瘤,全身
图片尺寸720x469
智齿已引起下颌颌骨囊肿或肿瘤.6.
图片尺寸1353x1038
牙瘤是恶性的肿瘤吗
图片尺寸800x451
英国一名51岁男子由于害怕看牙医,27年来都没去看牙
图片尺寸634x476
发一个牙龈瘤的病例yidianbalicdf的博客kq88口腔博客
图片尺寸640x747
不能很好地区分骨皮质和骨松质) 颌骨骨折 牙瘤 骨化性纤维瘤 (是一种
图片尺寸395x276
牙龈上的突起是什么
图片尺寸1648x1236
一例牙瘤手术完成,这是我们在拍ct准备拔智齿时发现的,己经侵 - 抖音
图片尺寸1440x1920
南阳9岁男孩长出70多颗小牙,这是什么怪病?
图片尺寸600x450
她指了指片子上牙齿的下方一块区域.说这一块密度较大.肯定是长囊
图片尺寸1080x1920