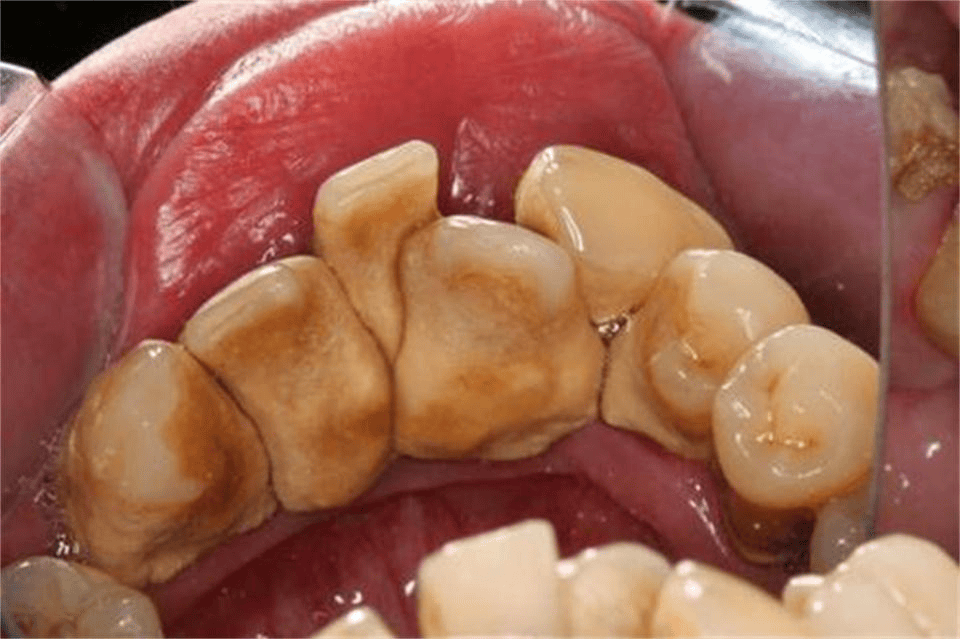
牙结石

你有牙结石吗?
图片尺寸750x1503
不花冤枉钱清除牙结石!学会这2个妙招,短时间牙石大块大块掉!
图片尺寸1280x888
牙缝里的牙结石臭烘烘?教你3招居家去石法,效果直接!
图片尺寸1320x1022
牙结石长得多还在吃饭时掉出来只因你每天都在无效刷牙
图片尺寸640x356
看看你的牙结石是几级吧60尽早发现尽早治疗
图片尺寸1080x1440
5年牙结石根除经验分享!学会这一招,发硬发臭的牙结石瞬间没了!
图片尺寸2352x1470
踩坑无数后掌握去牙结石正确方法21天牙齿变亮白
图片尺寸950x638
牛掰竟然只用了两个方法就将多年的牙结石根除了效果顶呱呱
图片尺寸660x660
牙缝里的牙结石如何清除干净3个办法是不少人的选择
图片尺寸640x432
黑臭的牙结石就别乱用方法了过来人支你三招牙石不掉都不行
图片尺寸960x628
「牙结石大作战」口腔科专家在线分享内部去石三大法!再忙也要看
图片尺寸640x379
关于根除牙结石,很早就想给大家分享下我的经验,毕竟我5年的顽固牙
图片尺寸640x447
牙结石口臭别再用手抠了!过来人教你如何不洗牙在家清除顽固口臭!
图片尺寸1408x880
傻瓜式去除牙结石方法现在公开学会牙石咔咔掉
图片尺寸960x639
轻松去除牙结石口臭根源
图片尺寸544x960
长期不洗牙牙结石的危害大吗内附牙结石图片慎入
图片尺寸500x311
牙结石"臭"名昭著好尴尬?学会这三招,快速拥有清新口气!
图片尺寸1176x882
20年不洗牙的后果,牙结石都好大一块了!
图片尺寸1920x1080
在家清除牙结石口臭!过来人的方法果真管用!后悔没早!
图片尺寸969x569
牙结石图片
图片尺寸750x500