牙结石症状

请问一下我这是牙结石吗?
图片尺寸377x504
牙周病的局部促进因素---牙石_牙周病_介绍_发病原因_症状表现 - 好
图片尺寸6000x4000
女汉子徒手抠下长了十多年的牙结石!看上去太酸爽了吧
图片尺寸640x431
牙结石扣掉了一块怎么办
图片尺寸476x310
牙结石到底是个什么东东? - 好大夫在线
图片尺寸522x369
【口腔大咖说】读懂牙结石的危害,这就是牙医让你洗牙的原因
图片尺寸480x320
牙结石
图片尺寸6000x4000
洗牙前牙齿表面可见大量牙结石,软垢
图片尺寸1253x692
去洗牙牙结石严重会不会很尴尬
图片尺寸1626x1080
自身症状才能判断,如果有牙龈出血,口臭的情况,可能是有龈下牙结石
图片尺寸1280x618
牙结石到底是个什么东东? - 好大夫在线
图片尺寸671x598
牙结石隐藏了这些可怕的危害你只知道一点
图片尺寸481x339
吉林牙结石哪里好诚信经营
图片尺寸600x400
这样牙结石是不是严重
图片尺寸1080x1200
"牙结石"可以自己抠掉吗?提示:学会5个小妙招,让牙垢自己掉
图片尺寸640x400
河马牙医聊聊牙齿那些事牙结石可谓是无处不在每个人都有过被牙结石
图片尺寸640x369
去洗牙牙结石严重会不会很尴尬
图片尺寸1583x1080
牙周病有哪些症状_牙周病_牙周病
图片尺寸865x604
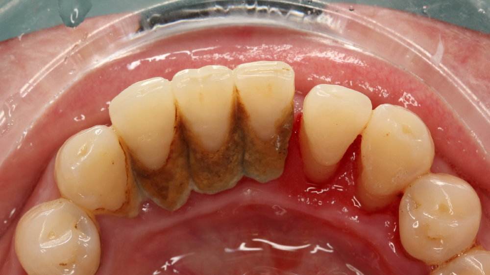
要说牙龈出血的原因,最常见的就是菌斑和牙结石.
图片尺寸1000x562
牙结石的危害图片大全
图片尺寸1112x742