牙缝图片

牙缝太大
图片尺寸1080x561
牙缝大应该怎么办?
图片尺寸695x927
门牙缝隙越来越大怎么办牙缝大修复多少费用
图片尺寸1024x794
正规医院补个牙缝要多少钱
图片尺寸562x364
牙缝大
图片尺寸1920x1280
你的牙缝究竟是怎麼「越来越大」的?现在知道还不晚!
图片尺寸640x425
牙缝大怎么纠正
图片尺寸1080x2337
为什么牙缝越来越大?究竟是谁的错?
图片尺寸802x581
小牙缝的微创美学树脂修复
图片尺寸2635x1703
我的牙缝很大,能补吗?
图片尺寸512x628
牙缝大的原因
图片尺寸2380x1785
牙齿缝隙发黑怎么清洁(大牙牙齿缝隙发黑怎么清洁)
图片尺寸1712x1284
牙齿口腔健康 牙缝
图片尺寸2592x1552
牙缝大,牙齿缺损,全瓷牙贴面帮助你改变!
图片尺寸2048x1365
天生牙缝大好丑,现在终于敢自信的笑了
图片尺寸1028x1280
为什么牙缝会越来越大?多半和三个原因有关,教你两招,缓解尴尬
图片尺寸600x400
牙缝难题,如何有效预防牙齿缺损?(预防牙齿缺损的方法)-52线报网
图片尺寸1440x1080
上海圣贝口腔提醒你的牙缝可能正在悄无声息的成长
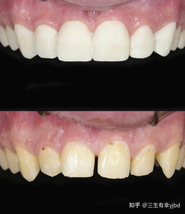
图片尺寸613x706
顾客牙缝大 诉求改善牙齿缝隙问题
图片尺寸1712x1284
你好,赵医生,本人25岁女,两颗门牙之间有大缝,大约
图片尺寸480x307