牙缝填充图片

用高粘度玻璃离子填充75号乳牙
图片尺寸560x368
后牙复合树脂直接填充——印章法
图片尺寸620x604
树脂充填
图片尺寸1080x675
关于牙齿的救赎,一个牙医的成长记录.
图片尺寸1570x1079
后牙树脂充填一例
图片尺寸1166x560
前牙缝隙的树脂修复第一次写希望大家多多指教
图片尺寸620x371
原创上中切牙树脂充填图片
图片尺寸2256x1496
声动树脂印章法后牙充填一例
图片尺寸517x388
假牙套牙仿真可吃饭临时牙齿遮瑕缺牙牙缝填充蛀牙咀嚼通用 缺牙款
图片尺寸800x800
树脂牙上的充填
图片尺寸640x887
全瓷贴面修复牙缝大#牙缝#深圳牙齿贴面
图片尺寸960x720
看了这个牙齿,感觉牙齿填充不可怕,可以去补牙了!
图片尺寸640x1138
树脂充填
图片尺寸1854x1773
树脂修复前门牙缝图片
图片尺寸653x436
中切牙充填一例
图片尺寸620x413
分享后牙区树脂直接填充
图片尺寸739x812
超大缝隙的门牙充填
图片尺寸640x480
10个后牙直接充填注意点
图片尺寸992x702
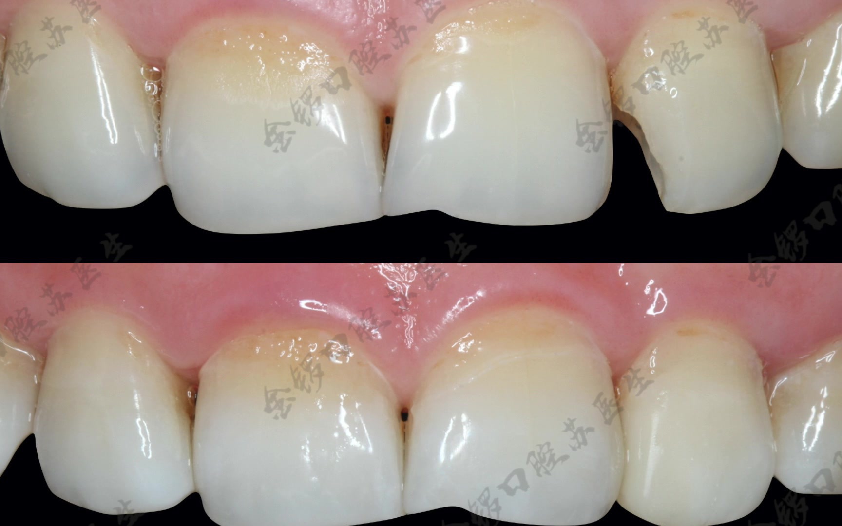
前牙树脂充填一例水印版_哔哩哔哩_bilibili
图片尺寸1728x1080
复合树脂填补中切牙牙缝图
图片尺寸750x500