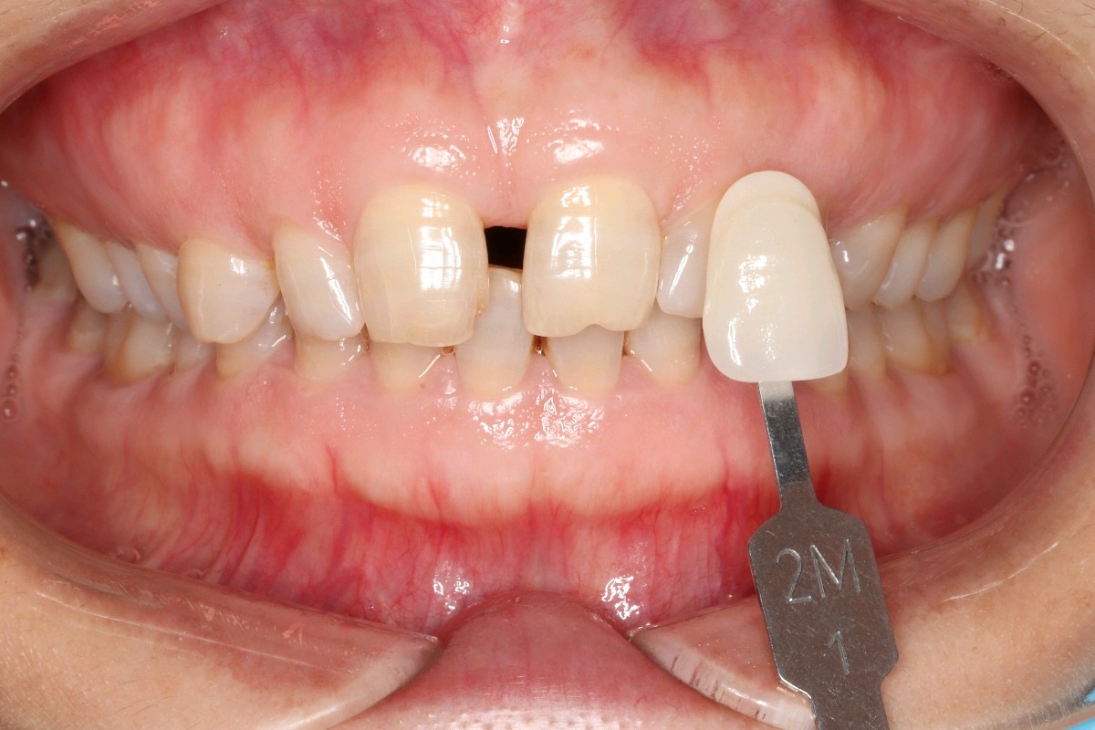
牙缝大漏财

都说牙缝大漏财,我这个牙缝这么大,不仅漏财还很丑,_圈子-新氧美容
图片尺寸1200x800
面相谈女人牙缝大好不好在面相学上,牙缝大代表财富难守,漏财.
图片尺寸477x299
关闭漏财的门牙牙缝
图片尺寸1080x1439
牙缝大不但漏财还漏风
图片尺寸1079x1436
进口贴面07 牙缝在风水学来说是漏财 做完美牙贴面牙齿变白了多好
图片尺寸1138x640
又是一位牙缝大,俗称"漏财缝"但是不愿意做贴面的宝宝.我们的 - 抖音
图片尺寸768x512
门牙牙缝大漏财
图片尺寸1000x1500
听别人说牙缝太大了漏财你们有听过这种说法吗
图片尺寸450x800
病例报告第3期门牙缝大漏财还毁颜值牙医如何逆天改命快速关缝纳财
图片尺寸1080x717
口腔外科 恢复时间 0天 收藏 从传统面相学来说,牙缝大容易漏财,从
图片尺寸502x501
牙缝大易漏财是真的吗?
图片尺寸640x356
牙缝大会漏财,是不是真的啊?
图片尺寸1080x1439
都说牙缝大漏财,我这个牙缝这么大,不仅漏财还很丑,_圈子-新氧美容
图片尺寸1200x800
老哥单纯修补门牙牙缝,漏财牙缝没了,祝老哥生意兴隆
图片尺寸640x1138
大牙缝的你看过来 牙缝隙很大就容易漏财 说话容易漏风,口齿不清_美妆
图片尺寸1072x720
病例报告第3期门牙缝大漏财还毁颜值牙医如何逆天改命快速关缝纳财
图片尺寸1080x717
漏财牙缝隙处理77美白牙齿带给你惊艳的美
图片尺寸1080x1439
缝隙牙:牙缝漏财,牙齐聚财_牙齿贴面_磨牙_美妆_医美整形
图片尺寸1080x1176
当心牙缝大真的会漏财
图片尺寸640x472
牙缝大会漏财,是不是真的啊?
图片尺寸1080x1439