牙裂带牙套的图

牙套钢丝断裂,还没有见过这种操作呢
图片尺寸960x960
青少年透明牙套隐形矫治必读附隐适美典型病例
图片尺寸845x1080
牙齿矫正流程
图片尺寸343x244
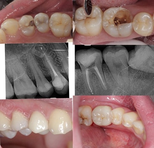
烤瓷牙套里的牙会烂吗?为什么我做完烤瓷牙会发黑发臭?
图片尺寸500x480
乳牙也可以做牙套吗
图片尺寸3776x2436
根管治疗后牙齿裂开?谁知道根管过的牙裂了要拔吗?
图片尺寸400x400
戴了5天的牙套裂了
图片尺寸1080x1439
因带牙套牙龈变成这样正常吗?
图片尺寸600x600
拔牙可以用社保吗 牙套能社保吗
图片尺寸333x500
隐适美|第一幅第9天 裂了_牙套_隐适美怎么样_牙齿矫正_牙套正畸_美妆
图片尺寸1080x1439
第三幅隐形牙套裂了
图片尺寸1080x1441
隐形牙套会裂吗如果裂了怎么办
图片尺寸720x1280
带牙套已经9个月过去了,虽然有变化了,但还是感觉进度好慢.
图片尺寸570x760
牙是深覆盖牙套是武汉仁爱口腔金属自锁托槽矫正就是想活的体面
图片尺寸800x533
求看图 带了四个月牙套 现在还需要拔牙嘛?
图片尺寸500x666
牙裂了,这种情况是不是要停止正畸了
图片尺寸951x1032
6月3日戴的牙套,至今有两个月了.
图片尺寸732x978
因为戴牙套自卑怎么办?
图片尺寸640x640
想要戴牙套各位大神能说说戴牙套之后的变化嘛
图片尺寸600x799
关于金属恒牙预成冠应用的思考牙隐裂的金属预成冠临时修复
图片尺寸548x1024