牙釉质损伤

牙釉质外面掉了一块,这是什么情况.该怎么修复呢?在线等
图片尺寸780x1040
问答_患者咨询-有来医生
图片尺寸537x400
各位帮我看看牙齿,牙釉质破损怎么办?多难看啊,求网友
图片尺寸500x377
严重氟斑牙,伴牙釉质缺损,铸瓷贴面修复_大夫
图片尺寸609x288
牙齿为什么会出现楔形缺损
图片尺寸450x305
前牙美学修复
图片尺寸1630x1079
牙釉质裂纹和牙隐裂的区别分享牙釉质裂纹图片及修复方法
图片尺寸792x700
两周岁半的宝宝牙齿的牙釉质有损坏,这是龋齿了吗?还有的救吗?
图片尺寸780x1040
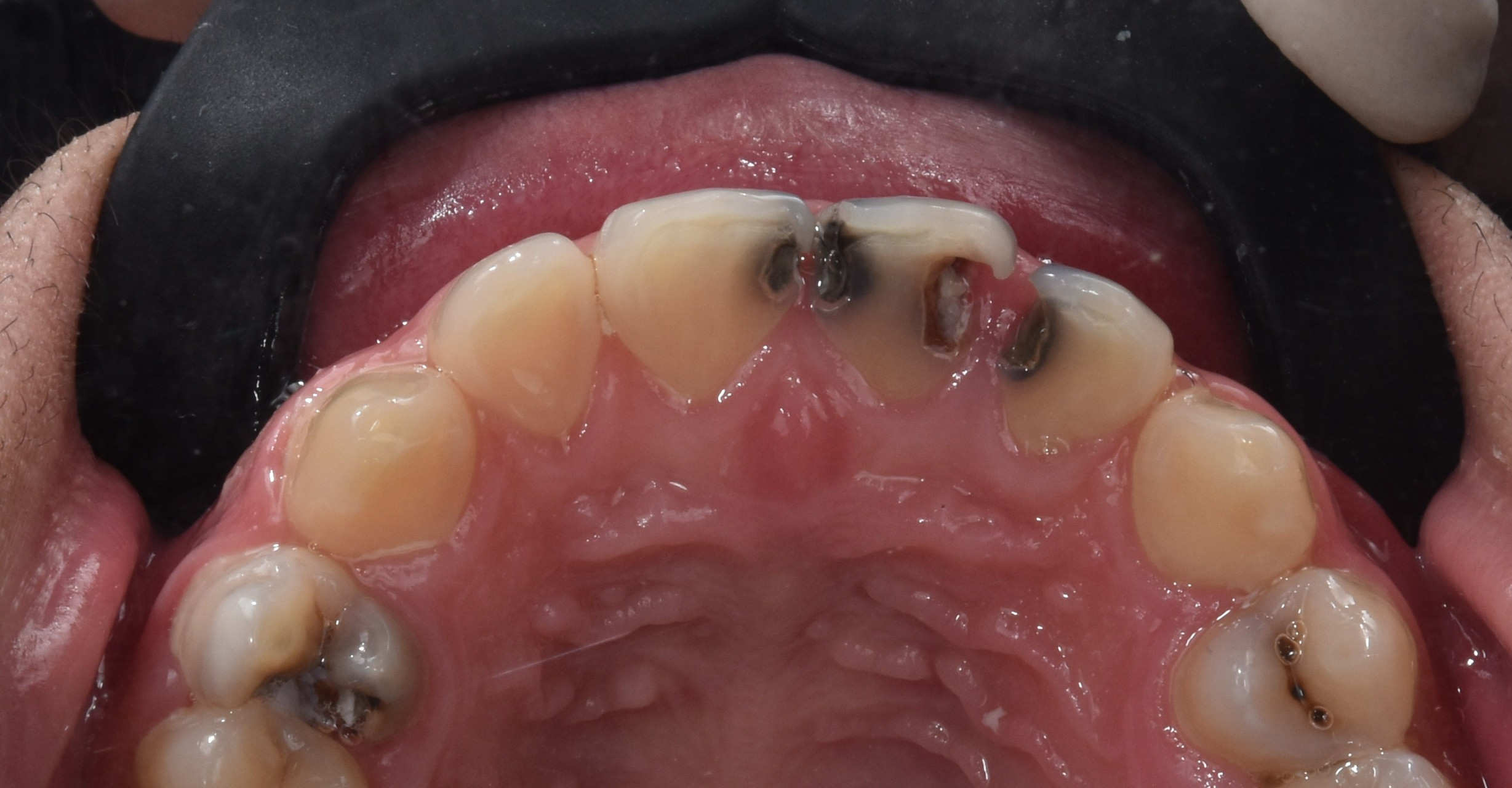
因牙釉质矿化较高,龋坏进展较慢,不易向四周扩展,但较易沿着窝沟向
图片尺寸2598x3464
偷拍的,两岁小孩上门牙牙釉质碰掉了一块,牙本质外露,外露部分是软的
图片尺寸592x1052
洗牙对牙釉质会有伤害吗
图片尺寸549x385
问答_患者咨询-有来医生
图片尺寸533x400
问答_患者咨询-有来医生
图片尺寸600x400
牙釉质损伤图片8
图片尺寸629x400
牙齿缺损
图片尺寸4000x2248
简单冠折分成三个小类,一是单纯的牙釉质损伤,二是牙釉质的折断,三是
图片尺寸330x219
问答_患者咨询-有来医生
图片尺寸533x400
问答_患者咨询-有来医生
图片尺寸533x400
顾客牙釉质受损严重,是比较典型的氟斑牙,由于氟斑牙_圈子-新氧美容
图片尺寸1712x1284
张院长为其进行舒适微创治疗后,采用全瓷冠修复患牙.
图片尺寸2457x1280