牙釉质脱落图片

牙釉质外面掉了一块,这是什么情况.该怎么修复呢?在线等
图片尺寸780x1040
牙医给自然脱落的牙齿拍微距照片!万万没想到!
图片尺寸640x840
牙齿脱矿是指人的牙齿牙釉质表面的钙磷脱落,因而使牙_圈子-新氧美容
图片尺寸570x293
我的牙齿正在吃东西时候掉一块,现在只剩半边了 没有疼痛感 现在这
图片尺寸640x1136
谁知道这是什么情况,刚刷牙发现上面牙齿掉了一小点
图片尺寸912x1024
牙齿内侧根部掉了一块,该怎么办?
图片尺寸500x888
一颗活动了整整半年的老牙自然脱落
图片尺寸3264x2448
口腔含着饮料,相当于把你的牙齿泡在酸性液体,慢慢腐蚀你的牙釉质,让
图片尺寸640x426
牙釉质碰掉了一小块,还能长好吗?
图片尺寸500x334
医生你好宝宝22个月今天回家我发现他的一只大门牙脱落了一
图片尺寸768x1024
前就有了一直没注意,现在一摸好像掉多了,好像是牙釉质脱落_百度知道
图片尺寸612x816
284 2011-08-11 梦见牙齿全部脱落 198 2010-08-16 牙齿根管治疗疼
图片尺寸1600x1200
不到30岁牙齿全部脱落了
图片尺寸557x351
这颗牙在做过一次光固化之后材料掉了一直没补结果今天牙齿掉了一块.
图片尺寸901x901
看图说话新解-牙齿表面脱矿形成白班的治疗 - 好大夫在线
图片尺寸1024x768
牙齿突然掉了一小块是怎么回事
图片尺寸700x425
烤瓷牙脱落
图片尺寸1200x600
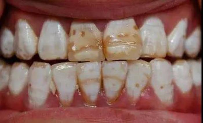
这是牙齿表面牙釉质上的矿物质流失了,是牙釉质脱矿的表现.
图片尺寸500x258
看图说话新解-牙齿表面脱矿形成白班的治疗 - 好大夫在线
图片尺寸780x520
这颗牙在做过一次光固化之后材料掉了一直没补结果今天牙齿掉了一块.
图片尺寸1024x1024