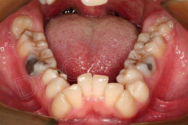
牙颌畸形图片

牙颌畸形_牙颌畸形疾病介绍 - 好大夫在线
图片尺寸600x400
畸形牙一例
图片尺寸1040x780
错颌畸形. 上颚牙齿拥挤照片
图片尺寸463x300
"发现即矫正"——12岁前必须处理的儿童牙颌畸形
图片尺寸620x424
牙齿不齐及各类错颌畸形的危害?
图片尺寸497x337
牙齿畸形有哪些种类?
图片尺寸446x241
错颌畸形发病原因:遗传原因:错颌畸形的遗传因素,来源于种族演化和
图片尺寸476x337
地包天_牙颌畸形 - 好大夫在线
图片尺寸800x533
儿牙畸形照片
图片尺寸455x347
3,恒牙期(12岁以后) 多数牙齿畸形是真性这个时期,孩子的颌骨,牙齿
图片尺寸620x299
牙齿的错颌畸形有哪些类型以及牙齿错颌畸形的危害?
图片尺寸323x211
12岁前必须处理的20种儿童牙颌畸形!
图片尺寸500x300
怎么矫正成人畸形牙齿
图片尺寸400x300
正畸_牙颌畸形 - 好大夫在线
图片尺寸800x534
2,后天不良习惯:除了遗传之外,不良的生活习惯是导致错颌畸形的最常见
图片尺寸1080x657
牙颌畸形_治疗方式_日常注意事项 - 好大夫在线
图片尺寸6960x4640
12岁之前必须处理的牙颌畸形要是早知道就好了
图片尺寸400x208
aao认为,儿童错牙合畸形的早期矫治有助于儿童:(1)上,下颌骨更协调的
图片尺寸1139x759
牙颌畸形_牙颌畸形发病原因 - 好大夫在线
图片尺寸800x461
牙颌畸形_疾病介绍_介绍 - 好大夫在线
图片尺寸1193x758