牙髓息肉

牙髓息肉怎么治疗?|棉球_新浪新闻
图片尺寸640x818
这颗牙缺了一部分,长了息肉,里面也黑了,应该怎么治疗
图片尺寸720x1658
我蛀牙那里长了块息肉,我用牙签把它挑掉,不过把旁边的牙肉也弄起来了
图片尺寸427x460
口腔长了一个小肉球,不知道是什么,请大家来看看,急急急!
图片尺寸612x816
牙周膜息肉
图片尺寸400x431
医故事丨钦州10岁男童不长门牙原来是牙瘤在作祟
图片尺寸600x800
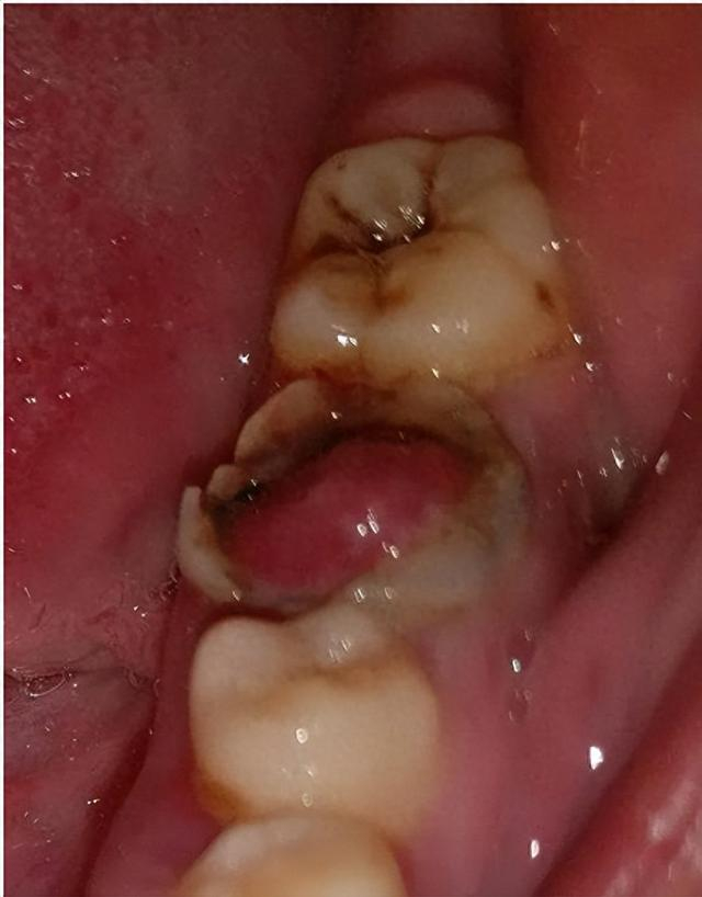
龋坏的牙洞内长息肉治疗牙髓息肉一例
图片尺寸5000x3333
之前好像长了牙龈息肉吧就是有块肉可以动来动去的一直没理 突然就变
图片尺寸768x1024
龋坏的牙洞内长息肉治疗牙髓息肉一例
图片尺寸5000x3333
收藏牙髓息肉的治疗方法有图有真相
图片尺寸433x287
牙龈上长了条牙肉像是发芽了一样这是什么.求大神指点.有图片.
图片尺寸563x519
收藏牙髓息肉的治疗方法有图有真相
图片尺寸447x291
牙髓息肉怎么处理图片教你牙髓息肉和牙龈息肉的判断方法
图片尺寸500x323
龋坏的牙洞内长息肉治疗牙髓息肉一例
图片尺寸5000x3333
孕妈妈们这个是牙龈肿,还是长的息肉呢,不痛就是刷牙出血
图片尺寸746x560
帮我看看我儿子的大牙,是怎么回事?
图片尺寸768x1024
龋坏的牙洞内长息肉治疗牙髓息肉一例
图片尺寸5000x3333
龋坏的牙洞内长息肉治疗牙髓息肉一例
图片尺寸5000x3333
牙齿上长了一个小突起是怎么回事
图片尺寸3264x2448
牙齿 上部牙龈上长了个小疙瘩 是硬的 舔它会疼 是怎么回事?有图
图片尺寸600x318