牙髓炎全瓷牙

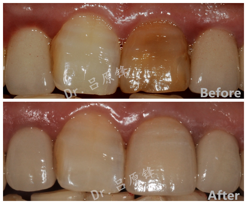
前牙死髓牙变色,行全瓷冠修复
图片尺寸1237x857
牙髓坏死变色,氧化钴全瓷冠完美修复_广大口腔医院-广州牙科医院_广州
图片尺寸600x314
全瓷牙门牙做一颗是无法和旁边的牙颜色一致的么
图片尺寸820x678
全瓷牙
图片尺寸288x216
轻度氟斑牙做陶瓷贴面2m1色号后,牙齿美白效果还真挺不错
图片尺寸500x333
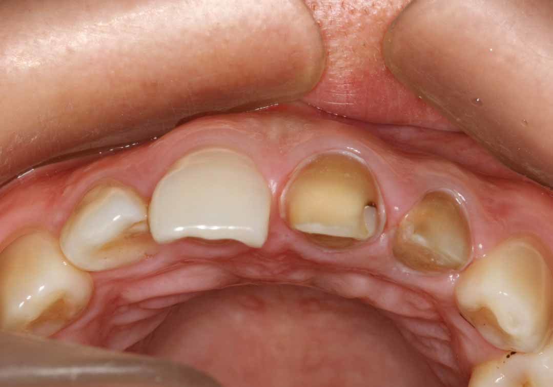
全瓷牙冠修复前牙缺损1例 - 好大夫在线
图片尺寸5000x2336
牙髓炎医保报销吗 幸福人寿学生保险牙髓炎报销多少-全球五金网
图片尺寸407x275
一例烤瓷牙引起的牙髓炎的感触
图片尺寸570x341
前牙死髓牙变色,行全瓷冠修复
图片尺寸1079x755
全瓷牙
图片尺寸400x300
假牙全瓷牙
图片尺寸280x380
二氧化锆全瓷牙的七大优势
图片尺寸690x460
4, 明星一样的牙齿——全瓷冠
图片尺寸548x313
右上第一磨牙慢性牙髓炎一例
图片尺寸433x346
冠延长 全瓷高嵌体修复因右下后牙疼痛来诊,诊断为46牙髓炎
图片尺寸640x352
主要是后磨牙牙髓炎做根管治疗后,用e-max铸瓷嵌体修复过程及效果
图片尺寸730x637
因惧怕看牙,至前牙龋累及牙髓,导致急性牙髓炎
图片尺寸640x360
牙髓炎是一种怎样的体验?
图片尺寸950x633
牙髓炎,根尖炎等的现象出现,就要取下全瓷牙做一些相对应的诊疗了
图片尺寸500x284
通过清除根管内的炎症牙髓和坏死物质,并进行适当消毒,充填根管,以
图片尺寸1080x734