牙髓炎ct

急性牙髓炎1例
图片尺寸569x185
圈出来的小牙齿就是畸形中央尖所导致的牙髓坏死及根尖周炎症
图片尺寸771x450
治疗计划:37,36根管治疗术.诊断:37牙髓炎,36根尖周炎.
图片尺寸934x676
今天拍的片子,医生说是智齿牙髓炎
图片尺寸1080x810
继发龋,牙髓炎,口腔内科疾病,带x光片!懂的进来,谢谢
图片尺寸864x1152
口腔ct让你的牙齿更加健康美丽
图片尺寸854x640
慢性牙髓炎1例
图片尺寸680x510
左上第二磨牙牙隐裂至慢性牙髓炎一例
图片尺寸680x680
口腔ct让你的牙齿更加健康美丽
图片尺寸854x640
口腔颌面cbct对牙髓病的诊断效果上吴大明副教授
图片尺寸514x350
急性牙髓炎
图片尺寸1080x810
我的牙齿ct
图片尺寸1080x1439
急性牙髓炎一次性根管充填和多次根管治疗后充填哪个好?
图片尺寸1012x708
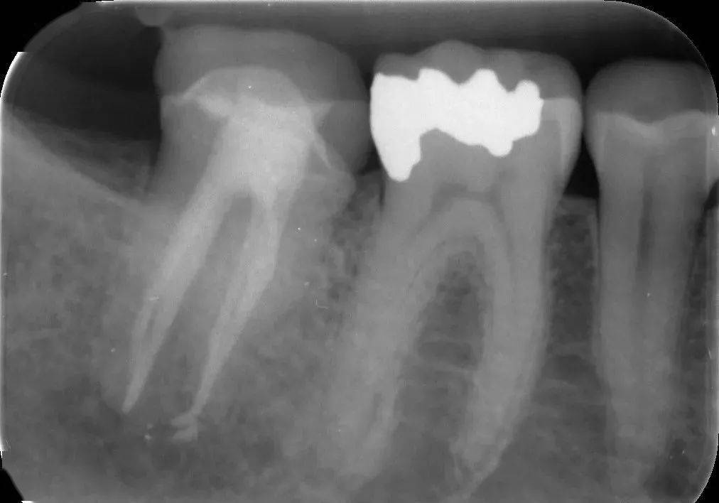
该病例患牙为深龋引起牙髓炎病例,患者仅有一周冷热刺激痛,无咬合痛
图片尺寸1154x895
口腔ct(cbct)较传统设备而言,检查范围更广,可更好地检查出牙体牙髓病
图片尺寸467x623
为口腔疾患中常见的症状之一,可见于西医学的龋齿,牙髓炎,根尖周围炎
图片尺寸1000x667
牙齿ct
图片尺寸1080x1439
通过ct片确定埋伏牙齿具体的位置,显示距离左侧上颌窦很近,偏唇侧,这
图片尺寸500x756
什么是牙髓炎
图片尺寸800x450
好在近水楼台,请慧芳医生拍ct,检查,确诊左上7根尖炎合并慢性牙髓炎
图片尺寸825x608