牙齿侧面有黑点

牙齿上有一个黑洞
图片尺寸720x560
后槽牙齿有黑点
图片尺寸620x620
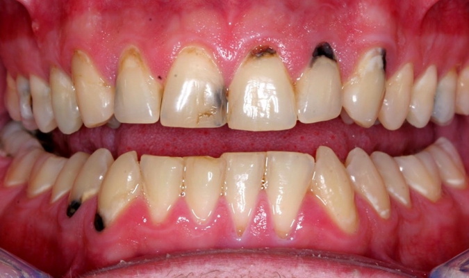
难看的黑门牙侧面龋发展到牙髓炎
图片尺寸2855x2735
牙齿上有如图所示的黑点.请问是蛀牙吗?怎么补救?
图片尺寸4095x2303
宝贝牙齿小黑点是什么?02有妈妈问儿童牙齿上的黑色东西是啥?
图片尺寸1000x505
早晚勤刷牙可孩子牙齿还是有黑点到底怎么回事
图片尺寸675x400
我想问一下我牙齿上的那些黑斑是什么
图片尺寸1200x1600
大牙牙齿侧面的黑点里面到底有多大?
图片尺寸1024x576
我的牙很好,就是上边有个黑点,为啥医生给钻了那么大一个洞?
图片尺寸600x401
友友们,请问牙齿上有这种小黑点是蛀牙吗?要管它吗
图片尺寸1080x1197
请医生帮忙看看,牙齿这是怎么了,周围黑色的是什么
图片尺寸375x500
牙齿上有如图所示的黑点.请问是蛀牙吗?怎么补救?
图片尺寸500x281
右边牙齿倒数两颗,牙齿侧边都有小黑点,想问问是什么病?求诊断
图片尺寸600x1068
牙疼,发现大牙有黑点点,这是什么?有什么办法修复吗?
图片尺寸659x796
牙疼,发现大牙有黑点点,这是什么?有什么办法修复吗?
图片尺寸500x694
我大牙齿上有这样的小黑点,最后一颗大牙中间有点发黑,每天都刷两次牙
图片尺寸1200x1600
牙齿有黑点要紧吗-陈峥副主任医师-爱问医生
图片尺寸3281x2649
我的牙齿内侧发黑怎么办我不抽烟喝酒的,对不起恶心大家了.
图片尺寸247x274
牙齿上有黑点是蛀牙吗 - 搜狗图片搜索
图片尺寸499x325
牙齿上有黑点是蛀牙吗?
图片尺寸625x462