牙齿发育沟图片

病例二 患者,女,7岁,出新牙了,表面很深窝沟,容易隐藏食物,发生龋坏
图片尺寸376x345
【求助】上颌6和下颌6的合面发育沟
图片尺寸5184x3456
2017年免费的儿童窝沟封闭开始啦!
图片尺寸1080x744
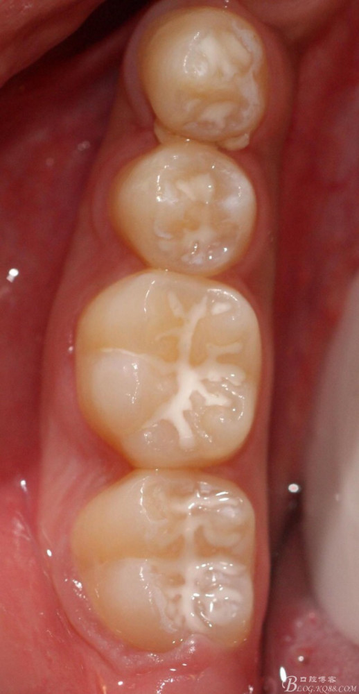
牙齿表面深窝沟
图片尺寸800x600
它形成的结构基础就是单纯牙釉质,所以常见部位在边缘嵴,切缘和发育沟
图片尺寸640x441
" 我们要知道,牙齿是怎么发育来的.
图片尺寸720x463
免费窝沟封闭进校园给潜江孩子们的牙齿穿上保护衣
图片尺寸1080x429
窝沟封闭什么时候做是较佳时间六龄牙是承担咀嚼功能很重要的牙齿
图片尺寸930x542
舌隆突 v字型 远中切角 圆钝 切 1/3 近切角 切 1/3 远切角 发育沟*2
图片尺寸1215x810
下5发育沟有三种类型(h, y, u).
图片尺寸668x394
有些人的牙面发育沟深,存在较多,较深的裂隙(裂隙是牙齿结构的先天
图片尺寸640x516
什么是牙齿窝沟封闭
图片尺寸500x337
"锯齿"是牙齿的发育结节,会随着进食咀嚼逐渐磨平,这个不是异常情况
图片尺寸640x765
医者红您的孩子做了窝沟封闭吗你知道湘潭市口腔医院免费做窝沟封闭吗
图片尺寸646x255
窝沟封闭前后对比图--为宝宝的牙齿穿上铠甲
图片尺寸632x391
娃20颗牙烂掉8颗!预防虫牙:刷牙,涂氟,窝沟封闭,你做了吗?
图片尺寸640x640
又一批儿童把"窝沟"这地儿给封了
图片尺寸384x305
有宝宝的妈妈们,你们知道窝沟封闭吗?
图片尺寸518x1000
怎么从小呵护孩子牙齿拥有漂亮脸型
图片尺寸608x350
医药卫生 口腔生理解剖 牙体解剖3,裂(fissure) 钙化不全的沟称为裂
图片尺寸1080x810