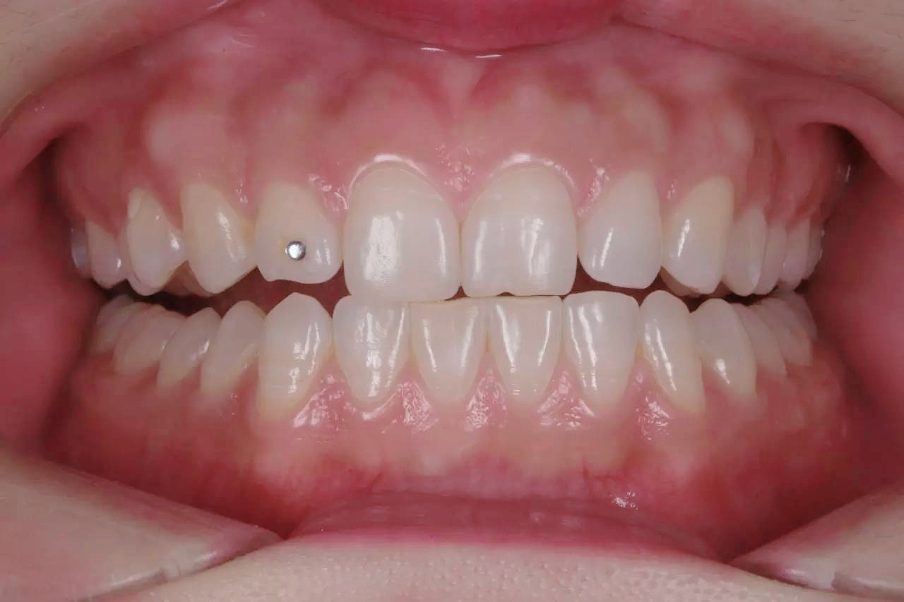
牙齿对齿图片

牙齿对刃必须要矫正吗?
图片尺寸550x747
感谢牙白兔口腔给我妈生牙!
图片尺寸2048x2730
这样的牙齿🦷算口好牙吧❗️
图片尺寸2048x2731
牙齿对刃图片
图片尺寸750x500
深覆合vs对刃合,你的牙齿属于哪种?
图片尺寸1200x1600
齿松动不仅令人一阵心慌,很多人不仅心中充满疑问,这样的牙齿松动会好
图片尺寸1537x1048
牙齿对刃咬合有什么危害
图片尺寸1280x853
📏 牙齿中线:对称美的秘密
图片尺寸1280x1676
牙齿对刃,有必要矫正吗?
图片尺寸513x500
陈嘉怡
图片尺寸1440x1080
虽然牙齿不齐但是他可以白呀
今天又
图片尺寸1179x2556
距离颜值"封神",你只差一齿之遥!
图片尺寸2000x1967
牙贴面不仅可以改变牙齿形态,让牙齿变得光滑好看,还可以让牙齿变白好
图片尺寸880x1719
对刃关系导致的牙齿反颌(地包天),金属托槽不拔牙矫治
图片尺寸1149x519
图片尺寸3881x5187
爱牙日|微微一笑 如"齿"闪亮
图片尺寸1080x1392
给牙齿来一场净齿行动
图片尺寸1440x1920
中线对齐牙齿中线对齐还不够,毕竟也有可能两排牙一起歪
图片尺寸720x360
口腔摄影九宫图(微瑕版#牙齿 )#一口好牙 #爱笑的人运气不
图片尺寸1440x2804
图片尺寸2160x2880