牙齿折断

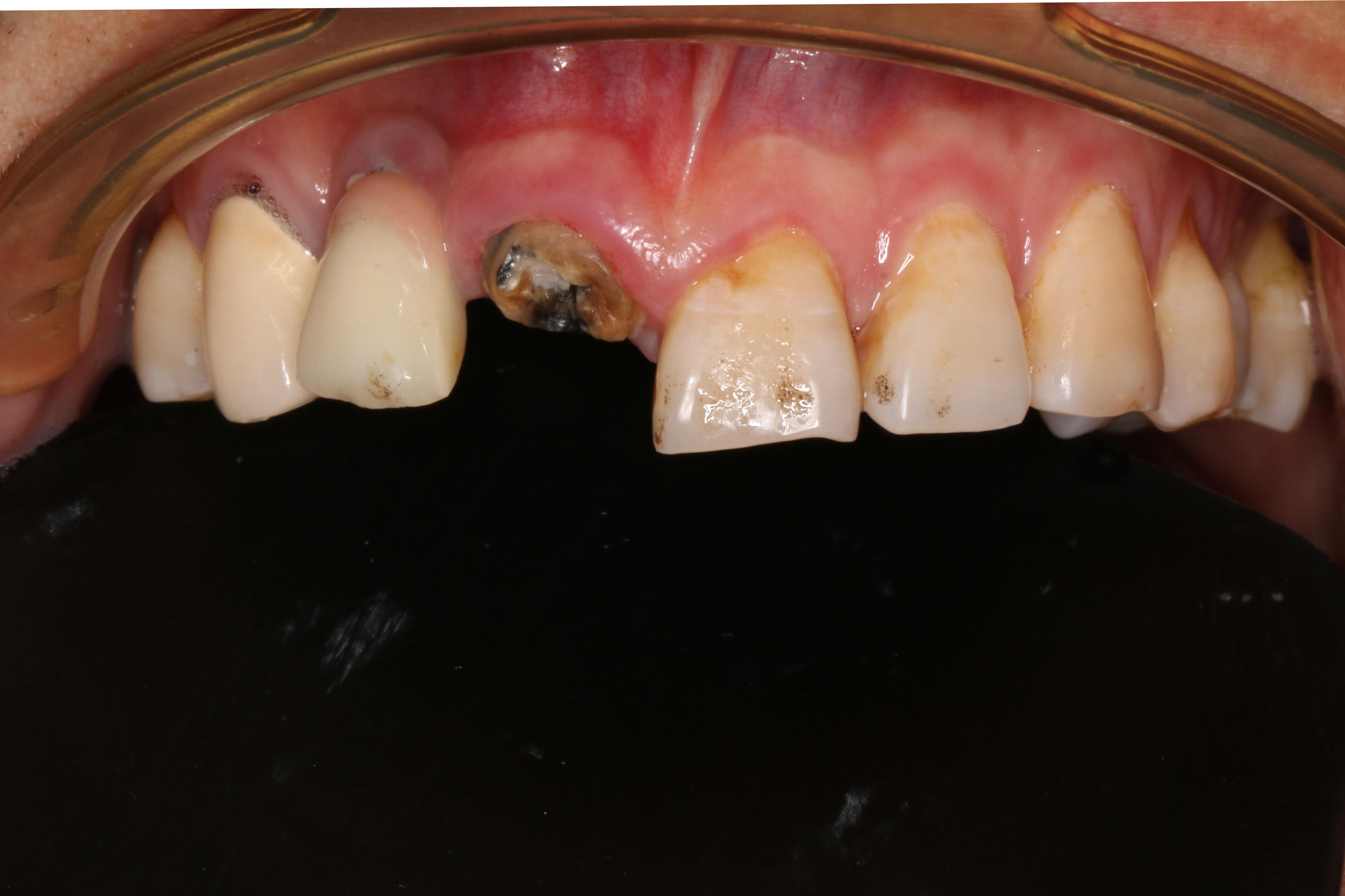
前牙根部折断后的迅速牙再生 - 好大夫在线
图片尺寸5472x3648
前牙折断氧化锆桩全瓷冠修复一例
图片尺寸4799x3199
意外受伤摔断牙齿,考虑再三还是决定种植牙
图片尺寸972x972
孩子牙断裂怎么办请把断牙放在牛奶或生理盐水来医院再接
图片尺寸1080x720
案例:前牙外伤折断后打桩77全瓷牙冠修复#美牙修复 - 抖音
图片尺寸1620x1080
牙齿折断怎么处理
图片尺寸635x393
生活中,孩子不小心摔断牙齿的情况多不胜数
图片尺寸700x376
牙折断尝试保留 - 好大夫在线
图片尺寸2976x2976
门牙外伤折断露髓一例
图片尺寸1255x1198
中切牙折断.医学上精确的人类牙齿和假牙概念的3d插图
图片尺寸1200x891
在西安皇冠酒店游泳因地滑摔断三颗牙齿
图片尺寸762x500
四种方法应对前牙折断
图片尺寸640x320
门牙断了怎么办
图片尺寸1190x743
前牙根部折断后的迅速牙再生 - 好大夫在线
图片尺寸5472x3648
门牙外伤折断露髓一例
图片尺寸4623x3474
一女子牙齿折断,马上用了这个方法恢复,绝了!
图片尺寸660x462
牙齿磕断了怎么办
图片尺寸434x319
纤维桩折断一例
图片尺寸680x541
咱们来唠唠,牙断了怎么办?
图片尺寸499x305
牙齿断了在一个男人嘴里断了上切牙.男子向牙医展示口腔.断牙的治疗
图片尺寸700x504