牙齿掉了一小块怎么办

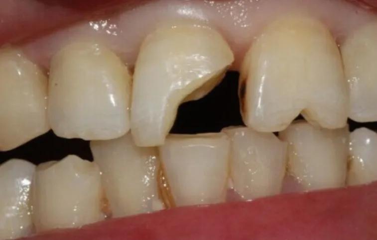
我的牙齿正在吃东西时候掉一块,现在只剩半边了 没有疼痛感 现在这
图片尺寸2448x3264
牙齿后面抠掉了一块,怎么办,我感觉好像舌头稍微一用力就牙就会掉了
图片尺寸375x500
牙齿突然掉了一块是为什么?原因有两个
图片尺寸450x300
牙齿突然掉了一小块是怎么回事?
图片尺寸640x480
我的牙齿正在吃东西时候掉一块,现在只剩半边了 没有疼痛感 现在这
图片尺寸640x1136
牙齿内侧脱落一块是什么情况?
图片尺寸338x600
宝贝六周岁乳牙门牙脱落 已经摇晃一阵子了 他自己轻轻摸了几下牙就掉
图片尺寸1080x1440
牙的内侧掉了一小块,什么情况?
图片尺寸375x500
治疗_牙齿_医生
图片尺寸1372x972
小孩的牙外侧掉了一块!像碗碰掉了瓷一样!他的牙为什么那么薄?
图片尺寸600x800
去医院诊断后从缺口处扒出来57颗牙齿,一个小小的牙窝里拔出57颗牙 你
图片尺寸836x1280
牙齿一块一块的掉究竟是怎么回事
图片尺寸600x300
牙齿内部掉了一块 现在舔到会觉的那里空着 里面好像是黑的
图片尺寸1024x952
平时牙齿突然掉了一小块是怎么回事今天就来分享一下
图片尺寸628x386
孩子门牙摔掉了,及时治疗还能保住,初见效果就不顾叮嘱,以孩子上课为
图片尺寸1440x1080
门牙掉了一半,医院补得牙不到一个月就掉了怎么办
图片尺寸620x465
上门牙不小心磕掉一块,露齿影响美观怎么办?_牙齿
图片尺寸757x483
牙齿内侧根部掉了一块,该怎么办?
图片尺寸600x1066
掉牙齿的小朋友 记录一下小朋友的第一次换牙,只可惜等不到自 - 抖音
图片尺寸1440x1920
约克夏第一次捡到椰蛋掉下来的牙齿好可爱
图片尺寸1080x1439