牙齿排列拥挤程度图

轻度拥挤前突
图片尺寸720x540
小吴矫正牙齿后,牙列排齐整平,中线对正,上牙拥挤解除,牙弓弧度得到
图片尺寸548x973
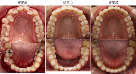
牙列重度拥挤的改善
图片尺寸1779x2048
牙齿拥挤危害这么大,还不快快"消灭"它
图片尺寸418x265
天津牙齿矫正对于下颌后缩深覆合牙列拥挤的隐形矫正方案
图片尺寸1280x1080
牙齿正常排列情况
图片尺寸500x224
牙齿不齐,拥挤适合戴金属矫治器还是隐形矫治器?_治疗_患者_进行
图片尺寸640x391
为什么你的牙列这么拥挤,真正的原因你不想知道吗?
图片尺寸500x300
牙套日记no.3虎牙 牙齿拥挤,不拔牙
图片尺寸1080x1440
不拔牙矫正排齐严重牙齿拥挤一例
图片尺寸1019x667
地包天,牙齿拥挤的非手术治疗 - 好大夫在线
图片尺寸673x693
牙齿拥挤不齐二度矫正前照片
图片尺寸639x488
重度牙列拥挤的矫治1例
图片尺寸610x300
牙齿拥挤示意图
图片尺寸500x266
矫正前后面像对比女生牙齿拥挤严重,牙齿咬合非常乱,_圈子-新氧美容
图片尺寸570x312
龅牙牙齿拥挤是拔牙好还是推磨牙向后好看完这篇你就懂了
图片尺寸785x479
不拔牙矫正排齐严重牙齿拥挤一例
图片尺寸1080x648
因此牙列拥挤,牙齿排列不整齐应尽早矫治.
图片尺寸397x295
案例总结:正畸结束后,牙齿排列整齐,咬合关系正确,牙弓弧度优美,侧貌
图片尺寸1137x806
牙齿拥挤案例
图片尺寸1468x1078