牙齿有蛀虫图片

虫牙, 是因为牙齿里有虫子吗?
图片尺寸404x266
哪里给孩子看牙齿好点的啊我家孩子大牙齿蛀黑了
图片尺寸600x597
虫牙是牙齿的虫子吗图片
图片尺寸1300x800
儿童牙齿出现蛀虫可影响牙颌系统,恒牙生长方向,恒牙发育都会产生影响
图片尺寸640x360
俺闺牙疼,去看牙去了,里面真的有好多小虫子,人家把药往坏牙上 - 抖音
图片尺寸1446x1920
超恐怖,牙齿里长虫子了,而且竟然还是"活"的!
图片尺寸288x399
7岁小孩牙齿被蛀虫后有颗像红钻似的东西?
图片尺寸768x1024
牙齿变黑之后不疼就不用管吗?蛀牙对身体影响大吗?看完长知识了
图片尺寸640x389
突然发现牙齿有了个洞,应该是虫蛀了,就想着处理下.
图片尺寸1712x1284
英文
图片尺寸244x272
4k镜头下的巨型蛀牙#一颗被蛀虫吃空的牙齿是如何在医生的操作下桓创
图片尺寸640x360
6.png
图片尺寸680x450
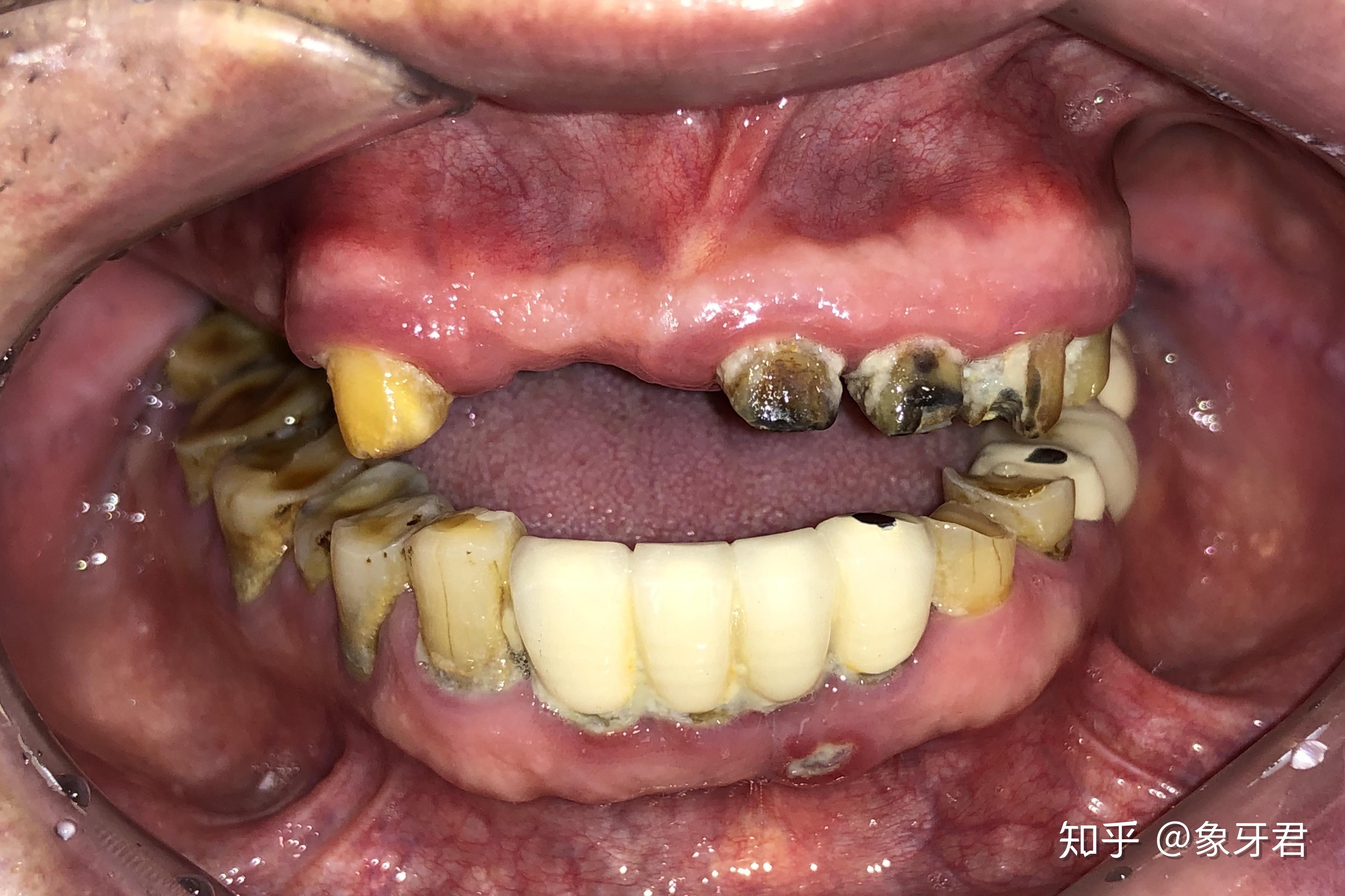
蛀牙不补可以吗? - 知乎
图片尺寸3531x2354
平时长的蛀牙,真的是有虫子在牙齿里面吗?今天总算知道了
图片尺寸640x356
黑色的牙齿里面真的藏了虫子吗?
图片尺寸406x312
初哆咪宝宝小黑牙怎么治疗
图片尺寸960x640
补虫牙可以医保报销吗 上海补蛀牙医保
图片尺寸400x300
蛀牙不补,攒好钱等着种牙吧
图片尺寸1078x850
蛀牙(虫牙)并不是牙齿里面真的长了虫子,而是被细菌腐蚀了.
图片尺寸640x427
100份圣诞爱牙礼盒,免费领!
图片尺寸800x552