牙齿松动的照片

牙齿松动该怎么办?
图片尺寸951x1195
患者部分牙齿松动缺失,狠心决定:半口即刻种植;当天戴牙,日后不再烦恼
图片尺寸1191x912
老化:随着年龄增长,牙槽骨萎缩,牙齿逐渐松动
图片尺寸1242x794
牙齿"松动",到底是拔还是不拔?
图片尺寸575x389
牙齿松动不是突然发生的,而是日积月累的结果
图片尺寸2760x2760
牙齿松动?别急着拔!这样补救更稳!✨
图片尺寸1198x800
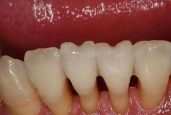
典型的牙周病,牙齿3度松动还有厚厚的牙石,这颗牙需要拔除了
图片尺寸720x1125
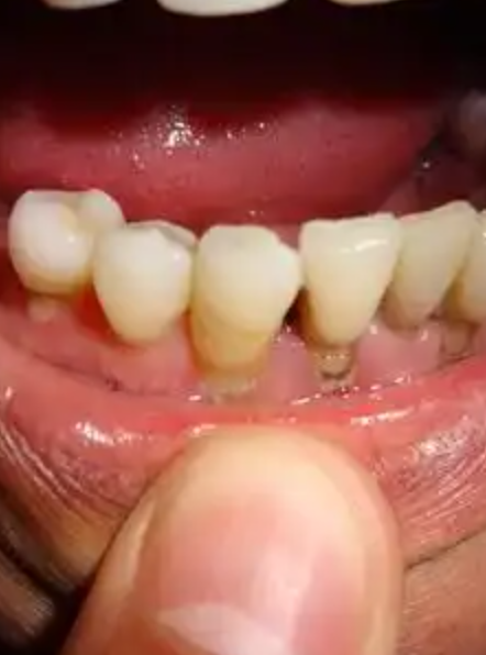
检查见牙龈结石多,口腔清洁差,牙齿不同程度松动,尤以上颌中切牙为甚
图片尺寸690x460
面对松动的牙齿, 牙齿松动牙齿三度松动的照片牙齿松动的图片牙齿松动
图片尺寸1200x1600
3度松动牙的治疗过程及长期效果观察
图片尺寸1080x693
牙齿松动固定术全流程详解
图片尺寸1751x2679
松动牙齿可自行恢复!轻微松动试试这6个法子,不花钱,效果好!
图片尺寸640x480
牙齿松动,咀嚼困难?不是老掉牙,而是骨骼对你发出的健康警告!
图片尺寸1338x1058
糖尿病人牙齿松动通常是糖尿病的并发症之一
图片尺寸442x596
应对方法看过来 上面的大牙出现松动疼痛,这不仅会影响我们的咀嚼功能
图片尺寸1200x1600
牙齿松动到连说话都打颤,是该"放手"让它自然脱落,还是主动寻求拔牙
图片尺寸1242x1660
今天我们来聊聊一个大家都关心的话题:老年人牙齿松动怎么办?
图片尺寸1200x800
邢台种植牙专家:对于老年人严重松动的牙齿,为什么不建议自然掉落再种
图片尺寸641x430
邢台种植专家:小孩牙齿松动怎么办?
图片尺寸1920x1280
满嘴牙齿松动疼痛是什么原因
图片尺寸1862x2490