牙齿染色

牙齿美白会不会伤牙齿?
图片尺寸600x399
病例一:四环素牙的特殊染色 - 好大夫在线
图片尺寸2352x1568
黄染色牙美白前后照片 - 好大夫在线
图片尺寸5184x3456
宝宝牙齿色素沉着怎么处理
图片尺寸640x395
【1】牙齿表面染色.是由于饮食习惯导致 - 抖音
图片尺寸500x891
是时候给牙齿做一次spa了心诺x628商务便携式冲牙器评测
图片尺寸640x510
染色后的牙菌斑 图片来源:作者提供 然后我对着镜子,用其中一种月子
图片尺寸600x333
外源性着色是指牙齿外在染色.
图片尺寸640x896
牙齿不够白,不知道是哪种色素牙怎么办?
图片尺寸542x288
牙齿变色的三大原因 每一种都是致命的
图片尺寸640x441
病例一:四环素牙的特殊染色 - 好大夫在线
图片尺寸2352x1568
牙齿小百科
图片尺寸360x500
病例一:四环素牙的特殊染色 - 好大夫在线
图片尺寸2352x1568
牙齿变色发黄的治疗方法
图片尺寸744x430
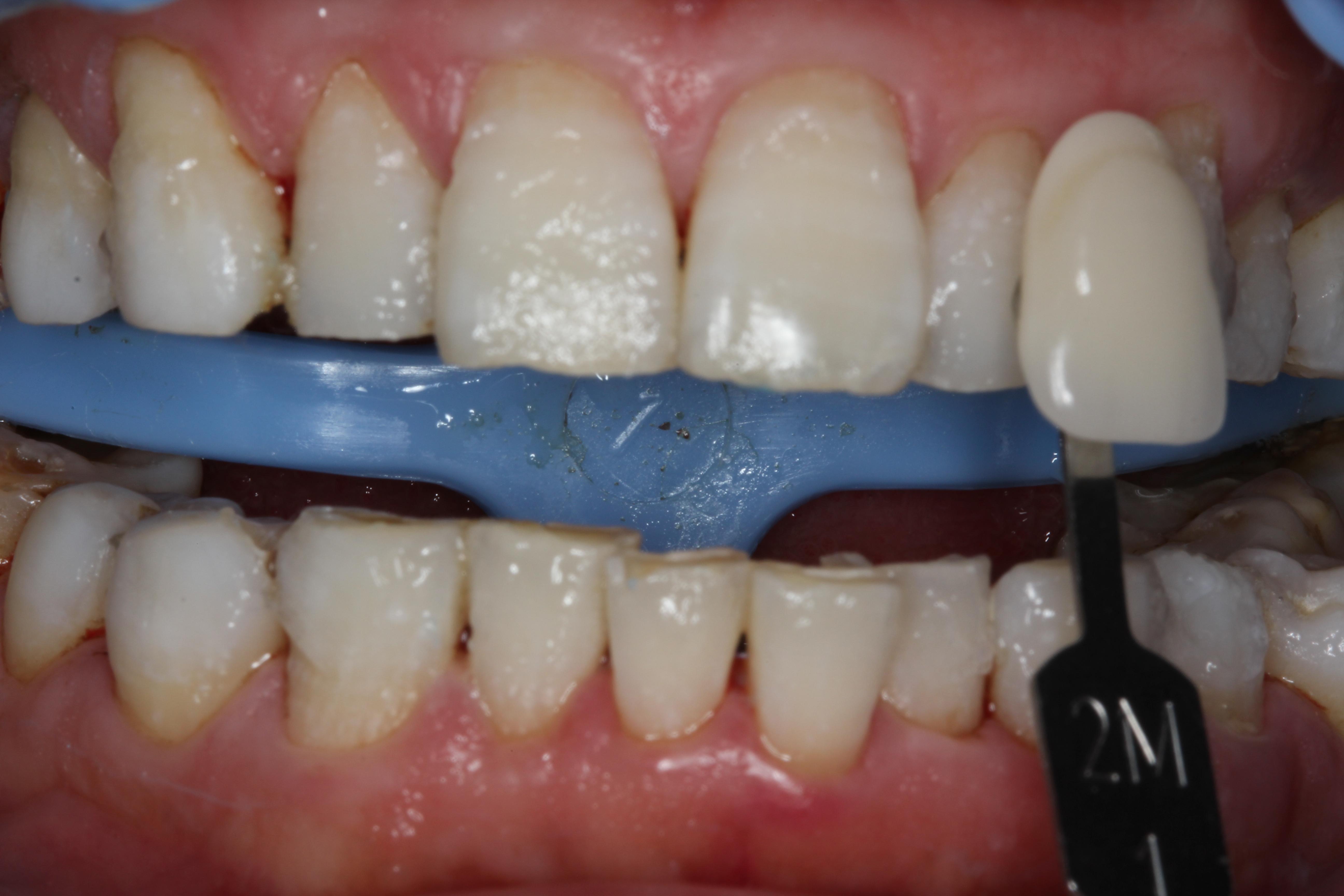
前牙牙齿变色的美学修复 - 好大夫在线
图片尺寸480x322
图55 变色的类型a 轻度四环素牙齿变色:(漂白时间:3个月).
图片尺寸1167x1029
牙黄,赶紧给你的牙齿做个美容——冷光美白,还你亮白牙齿!
图片尺寸500x282
牙齿变色着色的原因是什么
图片尺寸720x412
牙齿变色
图片尺寸500x230
牙齿又黄又黑影响美貌吗
图片尺寸512x270