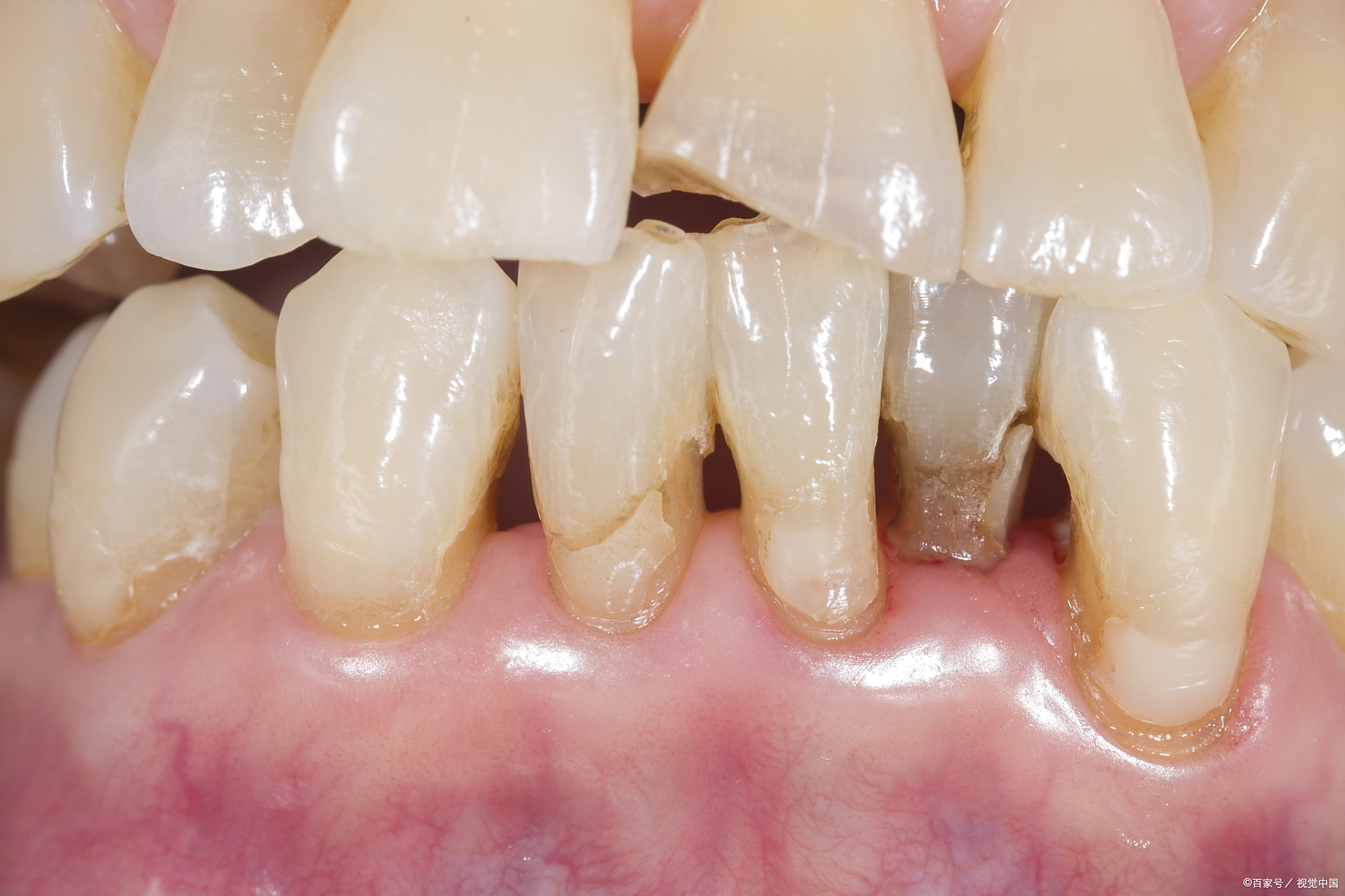
牙齿根面龋

老年人牙颈部龋
图片尺寸690x428
图片尺寸2356x2356
积极防治牙根面龋
图片尺寸960x339
齿间早讯|根面龋:隐形的老龄牙齿杀手,如何早预防?
图片尺寸1242x828
积极防治牙根面龋
图片尺寸1018x658
d128:年龄大的人是根面龋的高发人群#补牙#定期检查牙齿,收获健康口腔
图片尺寸690x406
坏牙齿图片龋齿的图片牙齿根部腐蚀初期图片龋齿是什么样子的图片龋病
图片尺寸1365x2048
从小蛀牙……到大烂牙
图片尺寸690x1029
蛀牙根管治疗戴牙冠过程
图片尺寸720x1280
根面龋##邻面龋
图片尺寸690x690
临床上又称为龋坏,是由于患者不注意维护口腔卫生,导致牙齿咬合面上的
图片尺寸900x1200
牙齿从侧面烂空了还有一面,这通常意味着龋病已经发展到一定程度
图片尺寸3200x4268
因为修补后的龋洞能阻止病变发展,迅速恢复牙齿功能,保持牙列完整
图片尺寸1080x1596
糖尿病病人的一口烂牙,牙髓都化脓了!
图片尺寸1728x1080
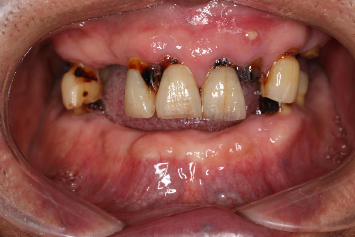
14龋坏严重至根面穿通,予年后再拔除处理
图片尺寸690x1430
牙根部发黑最常见的原因是牙根暴露或出现龋洞
图片尺寸715x894
蛀到牙根时细菌会侵蚀牙本质,形成黑牙齿挨着肉的地方发黑牙根部发黑
图片尺寸2048x1365
儿童牙齿隐匿龋与根管治疗
图片尺寸1080x1409
如果只是牙冠部分烂得厉害,但牙根还比较完整,这种情况通常不用拔牙
图片尺寸455x585
郝医生工作日常##太原朝阳口腔##根管治疗#有蛀牙一定要及时发现补牙
图片尺寸690x1074