牙齿正畸手术

正颌手术后正畸手术过程
图片尺寸570x331
武氏正畸病例集之七岁男童严重扭转中切牙矫治病例-曹晓娟医师
图片尺寸1000x667
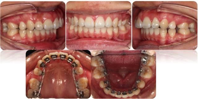
一例成年女性9个月的正畸效果
图片尺寸2000x2670
导航及内镜技术联合正颌手术矫治髁突骨软骨瘤伴颌骨畸形数字化流程的
图片尺寸1949x519
25岁女孩因脸歪就诊,采用正畸正颌手术.颏部左偏,下颌中线左 - 抖音
图片尺寸1800x1800
单纯正畸治疗无法解决问题,需要进行正畸与正颌外科手术联合治疗
图片尺寸800x600
高位埋伏尖牙正畸导萌的二期外科环切开窗手术
图片尺寸653x399
正畸微创拔除上颌埋伏前磨牙
图片尺寸640x426
贝致案例库 > 正畸正颌联合治疗,没下巴少女大改造牙齿状况也不乐观
图片尺寸7206x1608
2,正颌手术 3,术后正畸一般严重骨骼畸形,都有不同程度的牙齿代偿,即
图片尺寸640x321
dr.chen美学正畸案例##健闻登顶计划##深圳牙齿矫正
图片尺寸690x690
地包天牙齿矫正手术过程,看着都害怕
图片尺寸640x480
为什么有的人做牙齿矫正需要拔牙
图片尺寸6942x4628
正畸阻生尖牙腭侧高频电刀开窗术
图片尺寸640x426
洛阳八岁儿童门牙牵引手术案例,历时18个月牙齿正畸成功
图片尺寸450x450
主页 名医访谈 > >> 浏览文章 三,擅长项目 ·各类牙齿正畸
图片尺寸550x466
上前牙区多生牙拔除后 埋伏牙正畸牵引
图片尺寸560x318
安排(北京杭州苏州)好牙口腔门诊收费价格 价格表显示
图片尺寸327x200
不仅影响美观 还将影响牙齿咬合
图片尺寸5162x3645
扩弓)家长坚决不接受手术治疗,经详细沟通后,决定釆用正畸掩饰性治疗!
图片尺寸1012x493