牙齿洞型分类及图片

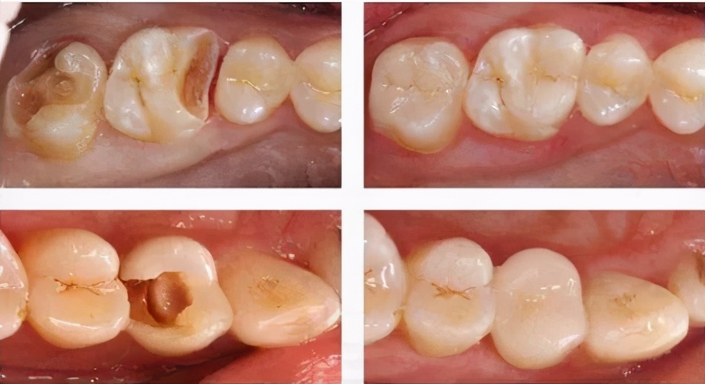
口腔医学Ⅱ龋洞的五类洞型
图片尺寸1080x1439
【口腔】窝洞的分类与结构
图片尺寸553x312
牙洞我来补修复牙洞蛀牙龋齿牙齿松动固齿买21除菌去异味120天超长
图片尺寸720x821
运气好的话,牙齿里面长这样 ▼▼▼▼▼
图片尺寸485x320
牙齿07 #现场实拍 #爱护牙齿 别有"洞"天 - 抖音
图片尺寸1324x1391
在小小的牙洞里面挖啊挖啊挖 花小小的钞.#牙齿07 #家长 - 抖音
图片尺寸1079x937
二类洞注意事项:左手固定牙齿,合面朝上,右手持笔式握持高速手机,以
图片尺寸1080x1439
龋齿二类洞精典图片
图片尺寸384x288
牙髓都开始外漏了,慢慢的时间长了造成牙齿坏死,就需要拔牙了,在恶损
图片尺寸600x366
战疫爱牙护齿99拔牙后的牙洞是怎么填满的
图片尺寸1080x851
牙齿出现小牙洞时没在意,最终导致牙髓坏死!该咋办?
图片尺寸988x538
牙齿烂洞长期不补会怎样
图片尺寸500x331
牙洞是怎样形成的
图片尺寸500x307
牙齿# 小小的牙洞,里面是别有洞天 - 知乎
图片尺寸728x800
为什么牙齿会烂(牙齿里面烂个洞) - 帅徐恋爱日记
图片尺寸1080x1620
95今天给大家整理了一些与牙齿有关的知识6015蛀牙的三大阶段
图片尺寸1080x1437
主页 牙齿治疗 补牙 每当我们患龋齿产生牙洞时,我们就需要及时
图片尺寸400x300
【屈臣氏爆款】告别蛀牙虫洞 牙齿黑窟窿 蛀牙修复牙洞自己补坏牙
图片尺寸800x800
第2阶段:牙本质腐蚀,龋坏加深,形成龋洞,牙齿对冷热酸甜感到敏感
图片尺寸720x331
牙齿烂个洞图
图片尺寸750x500