牙齿牵引钩

牙科材料 口腔材料 正畸游离钩 牵引钩 每包10个 量大从优电商
图片尺寸750x750
关于damonq自锁托槽牵引钩,的多个创新型解决方案(三)(原创,程磊)
图片尺寸640x427
游离牵引钩
图片尺寸640x640
创新 问号游离钩 游离牵引钩 10颗装 旺德福齿科牙科材料
图片尺寸747x747
游离牵引钩10*1 牙科正畸材料口腔材料系列齿科产品正品保证
图片尺寸300x300
广州牙齿矫正杨露 的想法: 【自制牵引钩】有些矫正的患者朋友在植入
图片尺寸1800x1800
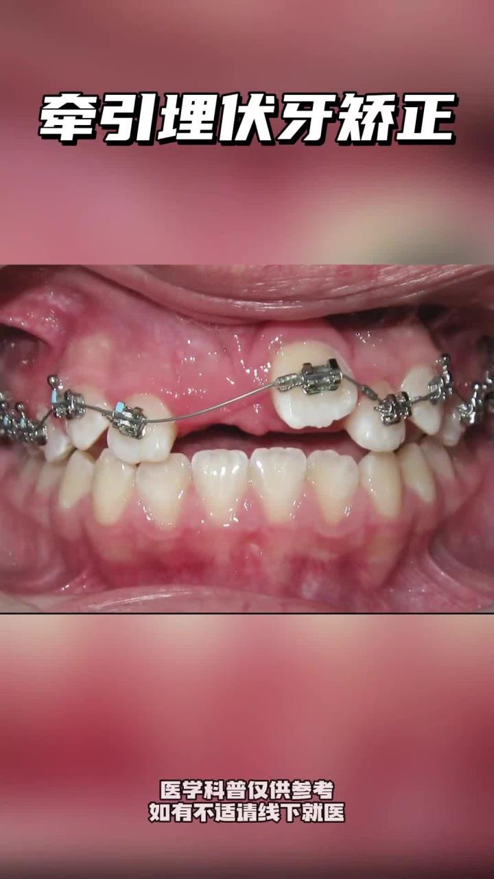
埋伏牙牵引一例
图片尺寸1620x1080
牙科j型钩 口腔正畸口外牵引装置 j形钩 不锈钢j型尖牙钩 包邮
图片尺寸310x310
牙科口腔齿科材料游离牵引钩亚宏加长型通用牵引钩牙齿矫正正畸
图片尺寸800x800
牙科正畸材料游离钩 可活动游离牵引钩 牙科正畸牵引钩 10颗/袋
图片尺寸750x750
埋伏牙牵引一例
图片尺寸1620x1080
牙齿牵引是什么牙齿牵引会造成牙齿松动吗
图片尺寸720x2019
不锈钢金属洁牙钩双头牙科牙齿探针便携剔牙器牙签 抠牙剔牙工具
图片尺寸800x800
口腔牙科加长带钩游离钩分左右 牵引钩 牵引装置 正畸材料问号钩
图片尺寸750x750
游离牵引钩 加长型游离钩10/包 口腔正畸材料批发 牙科材料
图片尺寸1920x1280
矫正牙齿挂橡皮圈是挂在拖槽牵引钩上还是钢丝环牵引钩上?
图片尺寸864x1536
游离牵引钩 标准型 加长型 左右问号型 游离牵引勾 口腔正畸材料
图片尺寸750x750
口腔牙科材料牙齿矫正器天天正畸通用型游离牵引钩
图片尺寸700x700
牙齿矫正知识科普帖:正畸牙套装置部件详解(附图片)
图片尺寸484x241
游离牵引钩 加长型游离钩10/包 口腔正畸材料批发 牙科材料
图片尺寸750x750