牙齿生长纹

牙齿现竖纹却并非牙隐裂:缘由何在及解决之道
图片尺寸1242x1660
牙齿有横纹一节一节的图片
图片尺寸1242x828
牙齿有裂缝怎么办
图片尺寸2801x2048
牙齿上的裂纹不容忽视!
图片尺寸1151x541
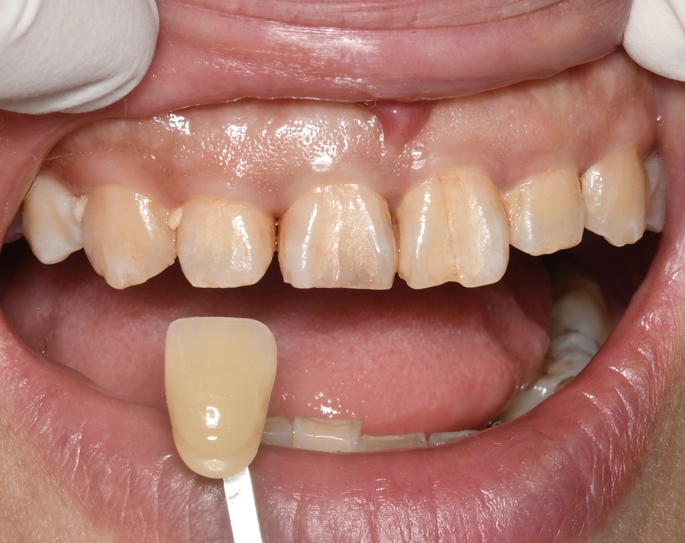
—门牙有裂纹的原因
图片尺寸900x1200
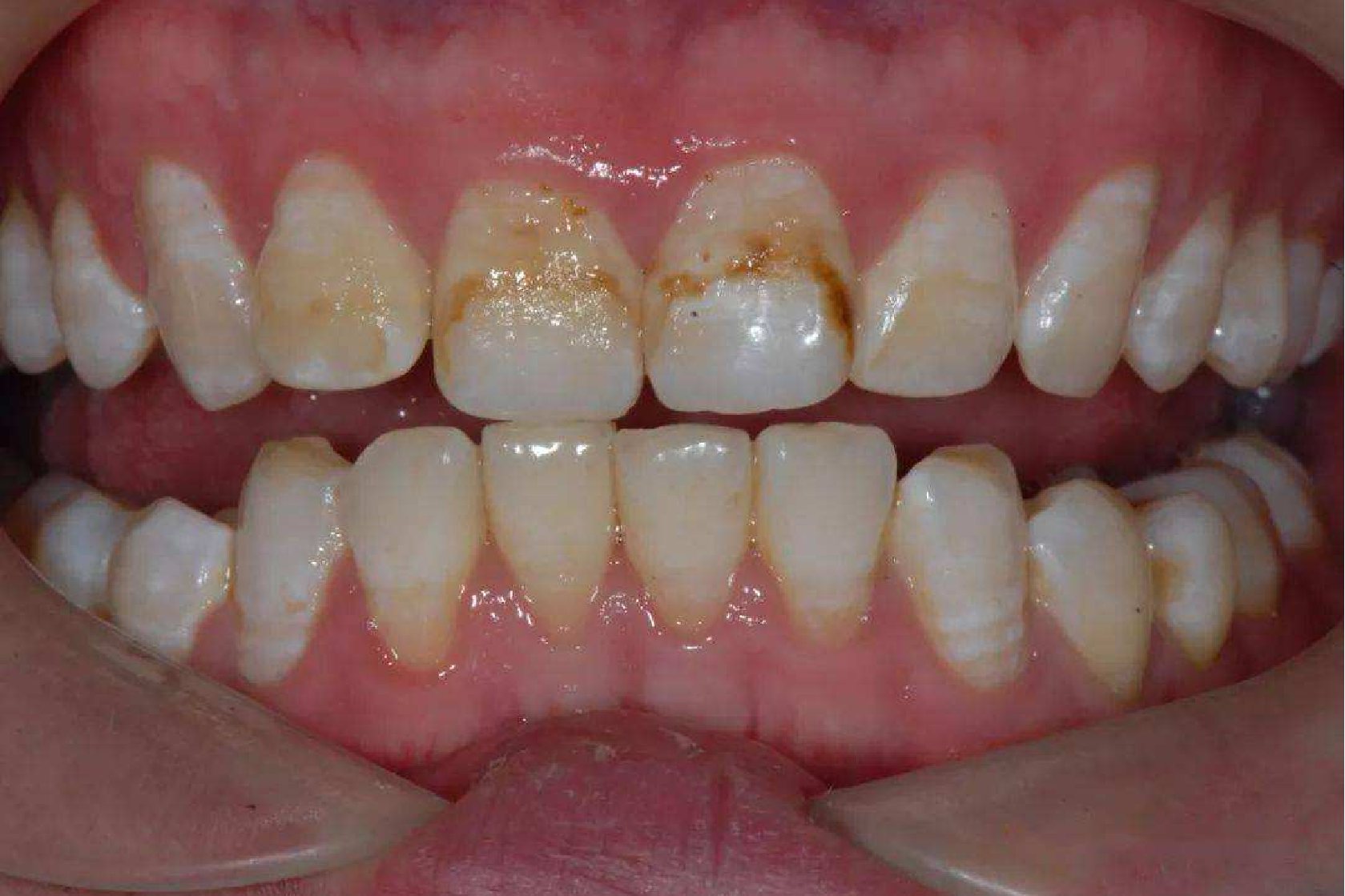
求助牙齿上有白色横纹怎么办
图片尺寸409x237
牙齿裂纹处理与预防
图片尺寸1080x1410
求助|牙齿上有白色横纹怎么办
图片尺寸600x1300
牙齿上有白色的条纹是怎么回事
图片尺寸750x500
啃骨头把牙齿啃裂了
图片尺寸2351x1863
牙齿的唇侧面,有着浅而细的横向纹路
图片尺寸690x605
电镜扫描则可见横纹处孔隙增多,晶体排列混乱,相邻的两条生长线之间有
图片尺寸1679x1119
牙齿有缝不可怕
图片尺寸1440x1920
这种牙齿是什么情况?有两颗横着长还有长在外面的,剩下的全是坏的
图片尺寸1915x1080
前段时间牙齿一吃冷的,酸的,热的和甜的就会有刺痛感,而且
图片尺寸1280x1710
这种牙齿是什么情况?有两颗横着长还有长在外面的,剩下的全是坏的
图片尺寸1917x1080
牙纹展示的教学意义
图片尺寸1080x1410
26年前遇到一20岁女大学生,先天牙齿缺失,影响外观和发音,姑娘深感
图片尺寸690x481
牙齿缝隙虽常见,但并非无解
图片尺寸2048x1141
经常有家长咨询,为什么小宝宝牙齿上会有这种黑色的东西,也不抽烟也不
图片尺寸690x1185