牙齿生长线

横纹短,生长线长
图片尺寸750x803
今天突然发现牙齿上面有黑线是怎么回事?用手抠不掉
图片尺寸500x371
牙齿上出现黑线你就要当心了
图片尺寸660x421
牙齿上的黑线能洗掉吗 已经慢慢变大了感觉 洗牙能不能洗掉
图片尺寸864x864
牙齿上面的黑线是什么? - 好大夫在线
图片尺寸1134x850
牙齿上面有条黑线
图片尺寸640x480
怎样才能保护牙釉质不受损?|釉质|到底-知识百科-川北在线
图片尺寸450x273
3 2013-10-06 牙齿刷不白
图片尺寸654x302
牙齿上有黑线图片 牙齿上有黑线
图片尺寸780x1052
牙齿上的神秘"黑线",最好别用手抠,看看牙科医生是怎么说的
图片尺寸1076x701
牙齿上的黑线是什么?
图片尺寸640x367
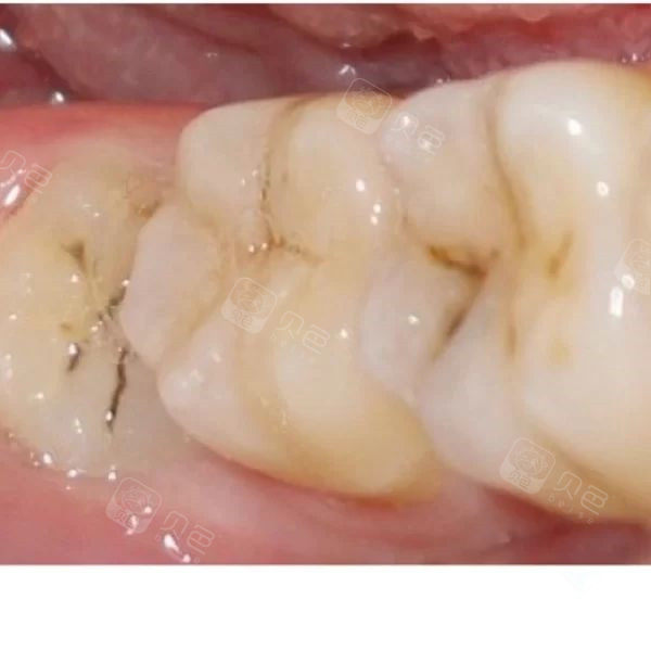
牙齿上的黑线条
图片尺寸600x600
医生,医生怎么我的烤瓷牙上有个黑线,怎么办.
图片尺寸878x505
有黑线后可能暂时不疼不痒,但是可能一段时间后就会出现牙齿敏感,疼痛
图片尺寸1552x1080
牙齿上出现黑线你就要当心了
图片尺寸640x409
宝宝上嘴唇中间一条线长在两个大门牙中间,现在两牙分的很开,这样要做
图片尺寸354x421
78笑线的立体感:从前向后有轻微的突度的圆弧形,倘若上前牙排列成一
图片尺寸545x310
牙科见闻忽视牙齿上的这条黑线很快你就会满头黑线
图片尺寸1080x843
牙齿上的黑线究竟是什么
图片尺寸1080x775
牙齿上长出神秘"黑线",牙科医生:除了洗牙,你还可以这样做
图片尺寸603x404