牙齿病变图片

牙齿上出现"白斑",请警惕!|贤医健康说
图片尺寸684x443
牙齿有虫图片大全_有来医生
图片尺寸750x500
牙齿有炎症如何判断,牙周炎的症状看你中了几个?
图片尺寸1895x1280
最烂的牙齿可以有多烂
图片尺寸720x466
24岁男子3颗烂牙两年没治不幸感染大脑100减7都不会算
图片尺寸600x800
全瓷冠具有快速修复,美观自然,对周边组织无刺激等
图片尺寸2457x1280
【健康科普】嘴里的痛楚——龋齿_牙齿_病变_食物
图片尺寸405x305
揭秘龋齿的病变过程|从浅龋到拔牙,看看您的牙齿是怎么一步步"下岗"的
图片尺寸1070x651
1,龋洞没有及时修复,病变将会继续严重化,会感染牙齿内部的牙髓组织和
图片尺寸640x686
还伴随着剧烈疼痛,牙神经病变这时得根管治疗处理,挽救伤痕累累的牙齿
图片尺寸767x511
前言:牙齿是人体最坚硬的组织,但也是最容易受到损伤的部位.
图片尺寸640x453
悦悦的大眼睛扑闪扑闪很可爱,可是一张口,牙齿已龋坏变黑,这令她有些
图片尺寸830x959
牙冠劈裂及完整拔除后的情况牙根纵裂及拔除后的情况牙隐裂,牙齿表面
图片尺寸1968x1476
世界口腔健康日 | 关注口腔健康 让笑容从"齿"绽放_牙齿_疾病_学龄
图片尺寸562x285
当牙齿向你发出这些"求救信号",要警惕啦!
图片尺寸3456x2304
真的有让牙齿再生的民间高人?劝大家千万不要随便相信危害非常大
图片尺寸600x399
牙齿常见病症之—龋齿
图片尺寸600x400
牙齿长黑斑图片
图片尺寸3281x2649
想必家长最大的疑惑就是, 才几岁的孩子牙齿没长多久怎么就坏了呢?
图片尺寸2000x1340
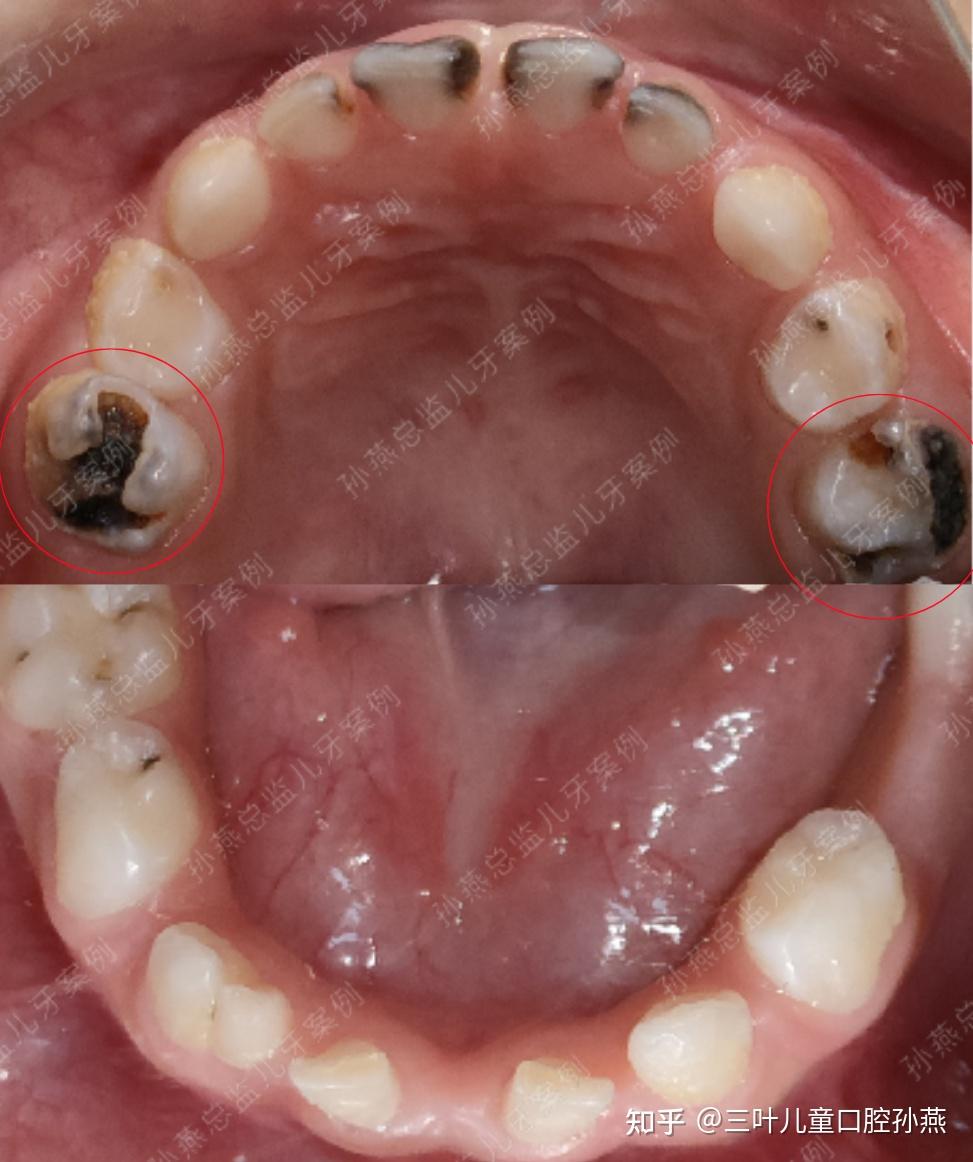
一年前家长就发现子轩牙齿变黑了,但因孩子害怕看牙不配合治疗,一直没
图片尺寸973x1162