牙齿矫正 钢丝

钢丝矫正
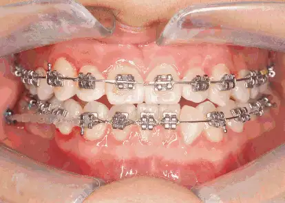
图片尺寸640x513
钢丝牙套是一种常见的牙齿矫正工具,用于改善牙齿排列不齐,咬合不正等
图片尺寸2800x1800
钢丝牙套
图片尺寸609x406
送给所有戴钢丝牙套的朋友
图片尺寸1080x543
牙齿矫正15天第1次复诊.由于上右末端钢丝老掉提前复诊了,上 - 抖音
图片尺寸1920x1440
四川口腔医院 牙齿矫正记录2 - 知乎
图片尺寸1863x1312
正畸牙齿记录: 2024.7月30日贴的钢丝托槽, 图1图2是
图片尺寸1080x1920
牙齿矫正如今越来越受到人们的关注,而在选择矫正方式时,很多人会
图片尺寸1242x1660
牙齿矫正不是就戴几根铁丝吗?自己不能箍吗?
图片尺寸640x274
牙齿正畸首选钢丝牙套,为什么牙齿矫正金属牙套是最好的选择?
图片尺寸720x846
隐形牙套和钢丝牙套哪个好?
图片尺寸640x427
凸嘴凸成这样该怎么办?
图片尺寸414x296
看完钢丝牙套的缺点和副作用,你会理解带了钢丝牙套后悔的人的真实
图片尺寸700x820
qianyufen·2年前牙齿矫正中的换弓丝操作#牙齿正畸#上海九院#上海
图片尺寸360x480
神奇的牙齿矫正
图片尺寸1000x667
牙齿矫正 小钢牙之旅结束🔚一摘牙套cet ✔️ 2019.12
图片尺寸1440x1920
牙齿矫正钢丝牙套要戴.@口腔正畸科常少海医生的动态
图片尺寸900x1200
一根钢丝将歪歪曲曲牙齿矫正
图片尺寸1080x1920
🌟 牙齿矫正新选择:钢丝牙套,我的自信笑容秘诀!
图片尺寸1918x1280
正畸(10)下牙箍排齐争气啊 下牙箍钢丝在77天内换了3次, 最明显的钢丝
图片尺寸960x1280