牙齿矫正 龅牙

旗人民医院口腔科牙齿矫正进行中
图片尺寸2667x2000
不拔牙的龅牙矫正
图片尺寸1146x720
厦门牙齿矫正3月案例精选
图片尺寸4017x2478
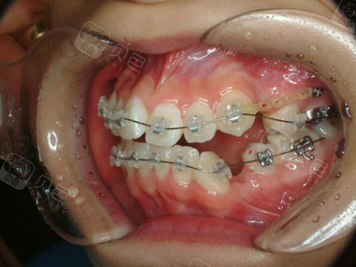
龅牙怎么矫正_雅康口腔医院-南京牙齿种植-南京牙齿矫正-南京儿童牙科
图片尺寸500x346
对于骨性龅牙小朋友,矫正牙齿要趁早,不要错过8-12岁的黄金 - 抖音
图片尺寸1440x1440
大龅牙做牙齿矫正是传统矫正好还是隐形矫正好
图片尺寸640x426
固乐口腔做牙齿矫正的程晓宇医生
图片尺寸733x394
拜博口腔 牙齿矫正ao金属自锁托槽正畸牙套龅牙牙齿矫正器tk
图片尺寸800x800
我是遗传性龅牙,就是门牙两颗牙突出,深覆合.
图片尺寸570x752
龅牙矫正术中效果
图片尺寸500x375
龅牙怎么矫正?来看无锡维乐口腔龅牙隐适美矫正案例
图片尺寸1080x720
说出现牙齿咬合关系错乱而导致下巴后缩时,就应选择牙齿矫正进行改善
图片尺寸1100x734
大龄宝妈的龅牙金属矫正,效果真香
图片尺寸1284x1712
牙套入学 | 牙齿矫正日记:龅牙/凸嘴学生党的牙齿矫正之路
图片尺寸701x511
地区的患者朋友既失去了美观更没了自信,想去口腔医院做牙齿矫正,但
图片尺寸500x309
龅牙露龈笑牙齿矫正案例
图片尺寸1134x1506
牙齿矫正
图片尺寸570x1014
北京正畸案例丨龅牙 下颌后缩 ,纯矫正,还送下巴
图片尺寸1059x350
常州做牙齿矫正多少钱?各种牙齿畸形做矫正价格表更新!-医秀网
图片尺寸500x357
坐标北京,27岁大龄正畸患者报到_牙套_整牙_正畸_拍照_牙医_牙齿矫正
图片尺寸1080x1440