牙齿脱矿严重

牙齿脱矿 类似于这样 但没这个严重
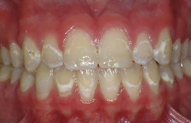
图片尺寸634x402
辟谣|尿酸高,会导致牙齿发生脱矿吗?口腔医生有话说
图片尺寸589x417
宝宝牙齿脱矿这两天掉了一小块好心塞啊
图片尺寸2048x1536
儿童脱矿的牙齿图片 儿童脱矿的牙齿能恢复吗?-图片大观-奇异网
图片尺寸1080x552
釉质脱矿釉质剥脱暴露牙本质早期脱矿早期 损不对称.
图片尺寸605x667
看图说话新解-牙齿表面脱矿形成白班的治疗 - 好大夫在线
图片尺寸1024x768
做梦掉牙怎么回事,女人老是梦见掉牙齿是怎么回事图1
图片尺寸600x367
辟谣|尿酸高,会导致牙齿发生脱矿吗?口腔医生有话说
图片尺寸626x406
牙釉质碰掉了一小块,还能长好吗?
图片尺寸500x334
你嘴里面有矿呀里面藏满了牙结石
图片尺寸680x428
宝宝牙齿脱矿育儿问答(宝宝牙齿脱矿是怎么造成的)
图片尺寸508x622
这是一种牙面脱矿,为初期龋坏("虫牙")的表现,如不及时治疗,还会
图片尺寸1280x853
宝宝牙齿脱矿的图片
图片尺寸500x375
牙齿脱矿是指人的牙齿牙釉质表面的钙磷脱落,因而使牙_圈子-新氧美容
图片尺寸570x293
看图说话新解-牙齿表面脱矿形成白班的治疗 - 好大夫在线
图片尺寸780x520
牙齿脱矿的话有哪些危害
图片尺寸500x375
自己一口烂牙,门牙有黄斑和白斑不知道是氟斑牙还是牙釉质脱矿?
图片尺寸2818x2400
牙齿脱矿是怎么回事
图片尺寸729x563
脱矿和氟斑牙的区别
图片尺寸275x183
12岁男孩,经常把饮料当水喝,牙齿大范围脱矿,缺损,轻触一块块都碎了.
图片尺寸450x800